歯肉の色調を改善し、
自然な笑顔を入手!
case3
治療前

治療後

主訴 | 結婚式がもうすぐあるので、前歯をきれいにしたい。 |
---|---|
治療期間 | 2ヶ月 |
治療前状況


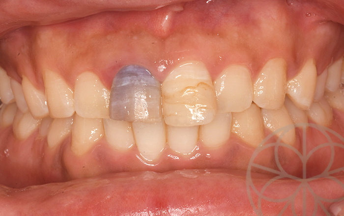
前歯の色調が気になっていた20代男性の患者様。
結婚式がもうすぐあるので、前歯をきれいにしたいと来院されました。結婚式まで、時間がないので、審査診断にすぐに取り掛かります。
原因は、若い時の歯の外傷にありました。
外傷で、歯の神経が死んでしまうと、このように歯の色調に影響を及ぼすことがあります。
前歯の神経の処置


歯の神経の処置を適切に行い、土台から色調を合わせていき、透過性の低いセラミックを使用して製作しました。
治療後写真①


治療後写真②


治療後写真③


歯肉の色調も改善して、とても自然なスマイルを手に入れることができました。
Preventual dentistry for your smile
患者様の笑顔のために
料金
セラミック歯 (5年補償) | 129,000円(税込み141,900円)~ |
---|