お問い合わせフォーム 24時間オンライン予約 Scroll

インプラント治療

このページを
読んでいただく前に、、、

インプラント

このような方に
読んでいただきたい、、

他院で抜歯が必要と言われたが、本当にそうなのか?
本当は、高い技術力をもってすれば、保存できるのではないかと感じている方
インプラントが良いのは、なんとなく分かるが、手術の際や、その後においても体にとって有害ではないのか?心配。
そもそも抜歯が必要だとしてもインプラントを避ける方法をしりたい。インプラントを避ける場合でも何かしらのデメリットもあると理解しているが、そのデメリットがそんなに大きいものなのか?納得できていない。
インプラントを埋入するのは、仕方がないとしてももっと少ない本数で施術できないのか?体に悪くないものだとは、理解しているが、やはりそれでも自分の歯ではないので、より少ない本数の方が安心。
抜歯が必要だと言われたが、その後痛みもなくなった。少し動揺しているが、なんとか咬めるので、これでよいのではないかと思っている

経験豊富な
担当ドクターによる治療

中村 信一郎Shinichiro Nakamura
インプラント
治療年数20年の
インプラント担当医
 
日本口腔インプラント学会
専門医
 

日本口腔インプラント
学会について

 
ICOI国際インプラント学会
指導医認定医(ICOI)
 

ICOIについて

ICOI指導医の
お近くのクリニック

中村 信一郎
インプラント治療年数20年
インプラント治療関連施術経験記録
インプラントオペ開始年度2000年
2000年 使用インプラントアストラテック
ノーベルバイオケア、GCセティオ
2001年 サイナスリフトオペ(人工骨補填)
開始
2002年 GBRオペ
(下顎臼歯部、上顎前歯部等)開始
2002年 下顎前歯部歯槽部ディストラクション法開始
(垂直方法に軟組織とともに、骨を増やす方法)
インプラントを固定元にした矯正治療開始
2003年 腸骨(腰骨)から骨採取し、サイナスリフト、下顎臼歯部垂直骨造成(自家骨法)開始
2003年 使用インプラント:
バイコンインプラント
2005年 使用インプラント:
ストローマンインプラント
ワンピースタイプ1回法治療開始
2006年 ソケットリフトテクニック開始
2008年 使用インプラント:
AQBインプラント
2010年 上顎前歯部抜歯即時埋入開始
2013年 使用インプラント:
オステムインプラント、
ハイオッセンインプラント

フルマウスケースボーンアンカードブリッジ開始
下顎臼歯部スプリットクレスト術
開始
2014年 上顎臼歯部ショートインプラント
使用開始
2016年 使用インプラント:
ノーベルバイオケアインプラント
下顎臼歯部抜歯即時埋入開始
上顎臼歯部ダブルベント法開始
2019年 使用インプラント:
バイコンインプラント

注)新しい治療方法が開発されたりして現在はやっていない(やる必要がなくなった)方法が多々あります。

当院のインプラント治療の10の特徴

まずは、インプラントではなく
歯を保存することを考える
経験豊富な
日本口腔外科学会専門医による
予知性の高い治療
丁寧な治療説明、
セカンドオピニオン、無料診断
手術室・滅菌環境
鎮静下手術(痛みなく、わからないうちに手術が終わります。)
即時埋入・即時修復
豊富な治療バリエーション
CT完備ガイドシステム
質の高いメインテナンス管理(インプラントメインテナンス専門衛生士)
10年補償

当院の手術室について動画説明

治療方法について

抜歯即時埋入

一般的なクリニックのインプラント治療では、抜歯を行ってから、数カ月(2か月から6か月)程度、骨が成熟するのを待つ、もしくは歯を抜かなくてはいけなくなった理由(感染、のう胞、破折等)の原因を生体が排除するのを待ってからインプラント埋入を行うことが多いと思います。

抜歯と同時にインプラントを
埋入しない理由としては、、

骨がある程度できてからでないとインプラント埋入できない
もしくは、難しいので、うまくいかない。と考えている
もしくは、感染している歯の場合、それが治ってからでないとインプラントが感染再発の原因になってしまうので、やらないほうが良いと考えている

ということが挙げられます。
よって多くの一般的なクリニックでは、やらないことが多いと思います。

もちろん当院でも、
患者様の状態的に抜歯即時埋入をしないほうが良いと判断した場合は、抜歯即時埋入をしませんが、しない割合は10%以下です。つまり90%くらいで当院では抜歯即時埋入を行います

インプラント治療に
このようなイメージを
お持ちではないですか?

インプラント
インプラント治療をするのには、遅すぎるのでは?
インプラント治療は痛そう
何回も通院が必要なのでは?忙しい最小の通院回数にしたい

①インプラント治療をするのには、
遅すぎるのでは?

インプラントという治療の必要性でいうと、比較的高齢の方が多くの本数を必要とします。インプラントの必要本数が多くなると、治療が複雑になるので、相対的にインプラント治療が年齢との関係で選択しずらくなる場合はあると思います。(骨が少なくなっていたりする場合も多い)

そのような場合でも当院では、治療の本数を少なくできる方法でその問題を解決したり、体に対して、低侵襲な手術方法で短時間で可能にしたり、いろいろな技術を用いて現在までに対応してきています。

具体的にいうと、おおがかりな骨移植が必要で治療期間は2年と他院で言われた患者様に対して相談をいただいた場合でも、当院ではショートインプラント(長さの短いインプラント)を用いて対応し、費用が小さくなったり、お体の負担的にも少なくすることで可能で、治療期間も4か月になるという提案をさせていただいたりということです

いろいろな解決方法はありますので、一度ご相談いただきたく思います。

②インプラント治療は
痛いのではないか?

手術中の痛みに対して

適切に局所麻酔を行うことによって、痛みを感じることはないです。

手術時間が長くなる場合は、途中で局所麻酔を追加することで解決します。局所麻酔時の痛みについては、表面麻酔を用いて表面を麻痺させてから、ゆっくり局所麻酔液を注入することで最小限にすることができます。

当院では、基本すべて患者様において静脈内鎮静法を用います。(事前に説明しますのでご安心ください。静脈内鎮静法を用いないで行うこともできますので、ご相談ください)うつらうつら寝ている状態にすることで、痛みを感じない方法です。

当院では、経験豊富な歯科医師がミダゾラムを用いる方法によって、行います。調節がききやすい薬剤ですので、安心して使用できます。痛みに対して不安がある患者様は、ぜひ一度ご相談ください

静脈内鎮静法とは

静脈内鎮静法

静脈内鎮静法(じょうみゃくないちんせいほう)とは点滴注射などから静脈麻酔剤、鎮痛剤等を注射して、治療の恐怖感や治療時の器具による吐き気等を防止する歯科治療の補助手段です。

薬剤の効果で半分寝ている状態なので、処置の過程をほとんど記憶していません。

血圧や脈拍等の変動が少なく、安定することが特徴です。

当院で行う静脈内鎮静法の実際

経皮的注射前麻酔シール(ペンレステープ)を右腕、もしくは、左腕に刺入予定部位に貼る。これを行うことで、血管を刺す時の痛みが軽減される。

静脈内鎮静法

ペンレステープを張った部位にサーフロ(血管内留置針)刺入する。10~20㏄程度、血液を採取する。

ペンレステープ

ミダゾラム1~2mgをゆっくり点滴注入する。患者様の反応を見ながら、追加投与を数分間隔あけながら行う。60㎏の方で、総量が10mgを超えないように、管理を行う。

患者様の反応を見て、鎮静が十分に行われたのを確認して、口腔内の局所麻酔を通常通り行います。この順番で行うことによって、口腔内の局所麻酔をしたことも覚えていない状況を作り出すことができます。この間、血圧計、サチュレーションモニター、呼吸管理モニターを用いて、随時状況を判断しながら行います。処置中鼻から2ℓ/分の酸素を投与します。

ミダゾラム

手術後の痛みに対して

手術後の痛みに対して

痛みを制御する観点から

手術後の痛みとしては、局所麻酔剤が切れてくるころ(麻酔をした時から3時間程度あと)に感じてくることが、理論上あります。

当院では、術中に点滴の中に鎮痛薬(ロピオン50mg)をいれて、静脈内から痛みを制御していきます。また手術後すぐに、内服の痛み止め2種類の服薬していただくことによって、90%以上の方が、術後痛くなかったと感じておられます
(当法人の2008年から2021年に行ったインプラント手術の術後アンケート調べより)

手術後の痛みに対して

治療をシンプルにする観点から

  1. 手術範囲を小さくする工夫
  2. 手術をするための切開をなるべく小さくし、最小限の手術範囲で行う。切開する範囲が一般的な場合とくらべて、30%小さくなれば、それに対する痛みが少なくなるといわれています。

  3. インプラントの埋入本数を
    最小限にする
  4. インプラントの本数を可能な限り少なくする。建築と同じでしっかり設計を行いその必要な最小限の本数を選択することによって、手術侵襲が減りますので、痛みが少なくなります

    またインプラントは、体に対して無害ですが、異物である(自分のものではない)であるので、当院のコンセプトである、あくまで予防的に処置を行うからいっても最小のインプラント本数にとどめるという理念にそって最小のインプラント本数で治療計画をたてるように心がけています。

  5. サイナスリフト等、大きな術野、大きな骨移植等を必要とする手術を選択しない
  6. さきほどにも書きましたが、技術の進歩で恩恵を受けているので、必要のない手術は選びません。インプラントポジションやデザインを工夫することで大きな手術を回避することを常に考えています。骨移植等もインプラントポジションを工夫して、大きな骨移植が必要にならないような治療方針を立てます。よって一般的な手術より、痛みを少なくできます。

    また抜歯と同時にインプラント埋入することが90%ですので、手術が一回になるという点からも、痛みは最小限にとどめているといえます。

  7. 最小限の通院回数にしたい
  8. 診査、診断、説明には、納得のいかれるまで、ご希望に応じて日数をおかけしますが、処置が始まってからは、最小の通院回数で行います。(1回の処置時間を長めにとって、治療を早く進めていきます。)

当院の
インプラント治療の流れ

静脈内鎮静法
無料カウンセリング
同じような患者様の当院の過去の治療実績、結果等を交えて、見通し、来院回数、大まかな費用をお伝えします。
精密検査
CT、レントゲン、口腔内写真、口腔内スキャナー検査、セファロ(頭頚部エックス線規格写真)にて骨と軟組織の状態を精査して、インプラントポジション、補綴物形態を仮決定します。
検査結果の説明
治療方針の説明を行い、治療の詳細見積もり、治療期間、日数をお伝え、相談します。同意書(重)要事項説明書、インプラント治療同意書、10年保証ガイドデント等書類をお渡します。
オペ
90%の患者さんで抜歯と同時にインプラント埋入まで行います。インプラント埋入当日に、スキャナーでインプラントを印象します。翌日に精度の高い、スクリューリテイン(スクリューリテイン法、取り外しが、体に負担なく行うことができます。)仮の歯を装着します。
チェック・型取り、装着
1か月半後にチェック・型取りを行い、その約2週間後に装着します。オペが終ってから、最小来院回数は4回で、治療期間最短2か月で補綴物を装着します。

補償制度について

補償制度

当院では、外部補償機関(ガイドデント社)の技術認定をうけて、ガイドデント社から10年補償制度を受けています。当院でインプラント治療をうけていただいた患者さまは10年間補償されます。

また、除外基準が、メインテナンスをきちんと受けていただく以外にほとんどなく安心です。(例、交通事故でインプラントの上部構造が折れた。等、患者様に非があるなしにかかわらず補償を受けられます。)

手術後の痛みに対して

外部の機関から認められて、補償制度を受けられる歯科医院は全国でまだ1000医院程度しかなく、またその1000医院がネットワークを組んでいますので、転勤や、ライフスタイルの変化にて引っ越した場合でも、提携医院で限度額以内の補償が受けられるのが安心です。

実際、このシステムに入っていない、認められていない歯科医院で受けたインプラント治療で転居のあとで、インプラント本体や、上部構造に問題があった場合、元の医院に通院する時間的、費用的な問題はいつもついて回ります。

手術後の痛みに対して

その問題をガイドデント補償システムはカバーしています。旅行中に問題が起こった場合、同様に全国の提携歯科医院をご紹介できます。応急処置も受けていただけます。(提携している医院の急患対応能力による)

インプラントの持ちについて
手術後の痛みに対して

前歯のインプラント

前歯のインプラントを美しく見せる治療技術

前歯のインプラント

CGF Cell Growth Factor

ケガをした時の治癒起点としてかさぶたが傷口を覆い、治りを早くします。血小板と血しょうの働きです。その中の血しょうは、各細胞に栄養やホルモンを運ぶほか、刺激が加わることで修復因子を放出するのです。

この因子によって作られるさまざまな物質のひとつがフィブリン(Fib)です。CGFは、このフィブリンを濃縮したもので、患者さんの血液を採血して上記の特殊な遠心分離機を使用して作ります。患者様の血液という自己由来の物質ですから、拒絶反応や感染リスクを抑えられます。またその生成には15分程度しかかかりません。

前歯のインプラント

このCGFをインプラント部位の骨補填剤をいれるところのカバーとして使うことで、この増殖因子が骨補填剤の成熟を促し良い骨を作ってくれる手助けをしてくれます。

血液を用いて作りますが、インプラント部の小さな患部へ用いますので、採血量はごくわずか(20㏄程度)となっています。

前歯のインプラント

一般的に前歯部のインプラントは
難しいといわれています。
理由は、前歯が抜歯になるときは、
骨も失われている場合が多い。

  1. 日本人は、前歯周囲の軟組織量がすくない
  2. 笑った時の上唇の上がり方は、個人差が多いので、それに合わせて歯の形を整えるのが難しい
  3. 隣の歯の位置や形態に異常がある場合にマッチさせるのに経験が必要

骨が少ない場合に大掛かりな骨移植等が必要になる場合もあり、治療期間も長期に及ぶ可能性があります。

予防歯科のコンセプトの考えから

インプラントポジションの精度をあげる

骨移植を少しでも少なくする。正確な術前の診断、特にインプラントの周囲の歯とその歯槽骨の診断を大切に行っています。

CTのある断面だけで、診断するのではなく、周囲との関係性を大切に行うことによって、大掛かりな骨移植を避けることができることが多いです。

この技術は即時荷重研究会でいつも研究していることで、会員の皆さんと情報交換を密にして日々改善しています。

詳しくはこちら  

骨移植を少しでも少なく、患者様の侵襲を下げることに取り組んでいます。他院で難しいのでやらないほうが良いといわれたり、大掛かりな骨移植が必要といわれた患者様のセカンドオピニオンのケースが多いです。お気軽に総院長までご相談をお願いします。

実際の治療結果

多忙であるため極力来院
少なく、しかしきちんとした
修復を希望

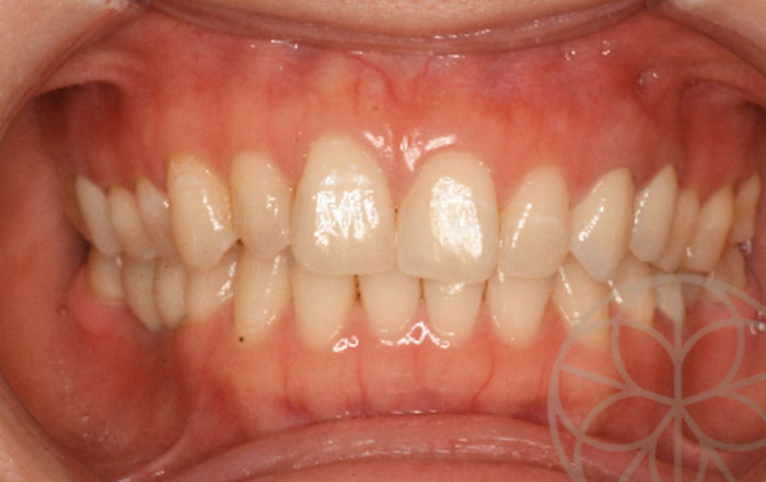
case1

治療前

インプラント

治療後

インプラント
年齢・性別 50代男性
治療期間 8ヶ月
リスクと副作用 インプラントは、局所麻酔で手術が必要です。
静脈内鎮静下手術では、うとうと眠っている間に手術が終了し、手術中の記憶がないことがほとんどです。 持病によっては、治療が困難な場合があります。
メインテナンスの不足、不良によって、インプラント周囲炎がおこることがあります。
上部構造のセラミックは、患者様のかみ合わせの困難さによっては、破損等不備が起こることがあります。
10年間は補償期間中ですので、無料で再治療を行うことが可能です。
抜歯即時埋入(ワンデーインプラント)は抜歯をしてからしばらく待って、インプラント埋入する一般的な術式に比べて、高い技術力を要する可能性があります。
詳しくはこちら

再発を繰り返す原因を
根本から解決!

case2

治療前

インプラント

治療後

インプラント
年齢・性別 30代男性
治療期間 3年
リスクと副作用 インプラントは、局所麻酔で手術が必要です。
静脈内鎮静下手術では、うとうと眠っている間に手術が終了し、手術中の記憶がないことがほとんどです。 持病によっては、治療が困難な場合があります。
メインテナンスの不足、不良によって、インプラント周囲炎がおこることがあります。
上部構造のセラミックは、患者様のかみ合わせの困難さによっては、破損等不備が起こることがあります。
10年間は補償期間中ですので、無料で再治療を行うことが可能です。
抜歯即時埋入(ワンデーインプラント)は抜歯をしてからしばらく待って、インプラント埋入する一般的な術式に比べて、高い技術力を要する可能性があります。
詳しくはこちら

入れ歯を避けてきたが、
覚悟のインプラント修復!

case3

治療前

インプラント

治療後

インプラント
年齢・性別 50代男性
治療期間 9ヶ月
リスクと副作用 インプラントは、局所麻酔で手術が必要です。
持病によっては、治療が困難な場合があります。
メインテナンスの不足、不良によって、インプラント周囲炎がおこることがあります。
上部構造のセラミックは、患者様のかみ合わせの困難さによっては、破損等不備が起こることがあります。
10年間は補償期間中ですので、無料で再治療を行うことが可能です。
抜歯即時埋入(ワンデーインプラント)は抜歯をしてからしばらく待って、インプラント埋入する一般的な術式に比べて、高い技術力を要する可能性があります。
詳しくはこちら

脱落した前歯1本を
審美修復!

case4

治療前

インプラント

治療後

インプラント
詳しくはこちら

患者様の将来を考え、
これ以上削らない治療!

case5

治療前

インプラント  

治療後

インプラント
年齢・性別 40代女性
主訴 左下の歯が咬んだら痛いということで来院されました。以前に何回かこの部位の差し歯がとれており、修理をしながら使っていました。
同部位の軽度の腫脹(はれている)のもあり、
レントゲン、CTで診断をしていきます。
治療期間 3ヶ月
リスクと副作用 インプラントは、局所麻酔で手術が必要です。
静脈内鎮静下手術では、うとうと眠っている間に手術が終了し、手術中の
記憶がないことがほとんどです。
持病によっては、治療が困難な場合があります。
メインテナンスの不足、不良によって、インプラント周囲炎がおこることがあります。
上部構造のセラミックは、患者様のかみ合わせの困難さによっては、破損等不備が起こることがあります。
10年間は補償期間中ですので、無料で再治療を行うことが可能です。抜歯即時埋入(ワンデーインプラント)は抜歯をしてからしばらく待って、インプラント埋入する一般的な術式に比べて、高い技術力を要する可能性があります。
詳しくはこちら

抜歯をしたその日に
インプラント埋入!

case6

治療前

インプラント  

治療後

インプラント
年齢・性別 40代女性
主訴 上顎の犬歯(糸切り歯)が差し歯になっていたのですが、奥歯がかみ合わせが悪くあまり咬めないことにことによって、どうしてもこの差し歯に負担がかかってしまっていたとのこと。

固いものを食べたわけでもないのに、差し歯が音がして、取れてきてしまった。
見た目にもかかわるところなので、早くなんとかしてほしいということを主訴に来院されました。レントゲンの審査でも、根が割れていることが疑われ、CTにて割れていると考えられました。隣の歯の根尖も問題がありそうで、この歯については後日相談していくこととなりました。
治療期間 4ヶ月
リスクと副作用 インプラントは、局所麻酔で手術が必要です。
静脈内鎮静下手術では、うとうと眠っている間に手術が終了し、手術中の
記憶がないことがほとんどです。
持病によっては、治療が困難な場合があります。
メインテナンスの不足、不良によって、インプラント周囲炎がおこることがあります。
上部構造のセラミックは、患者様のかみ合わせの困難さによっては、破損等不備が起こることがあります。
10年間は補償期間中ですので、無料で再治療を行うことが可能です。
抜歯即時埋入(ワンデーインプラント)は抜歯をしてからしばらく待って、インプラント埋入する一般的な術式に比べて、高い技術力を要する可能性があります。
詳しくはこちら

残せる歯を
保存しながら修復!

case7

治療前

インプラント  

治療後

インプラント
年齢・性別 34歳女性
主訴 左上の3番目の歯の破折
治療期間 4ヶ月
リスクと副作用 インプラントは、局所麻酔で手術が必要です。
静脈内鎮静下手術では、うとうと眠っている間に手術が終了し、手術中の
記憶がないことがほとんどです。
持病によっては、治療が困難な場合があります。
メインテナンスの不足、不良によって、インプラント周囲炎がおこることがあります。
上部構造のセラミックは、患者様のかみ合わせの困難さによっては、破損等不備が起こることがあります。
10年間は補償期間中ですので、無料で再治療を行うことが可能です。
抜歯即時埋入(ワンデーインプラント)は抜歯をしてからしばらく待って、インプラント埋入する一般的な術式に比べて、高い技術力を要する可能性があります。
詳しくはこちら

噛み合わせと審美修復を
合わせた治療!

case8

治療前

インプラント  

治療後

インプラント
年齢・性別 50代男性
主訴 奥歯が咬めない、痛いということ、前歯の色調の改善を主訴に紹介来院されました。奥歯が破折していて、奥歯が咬めないために前歯部に負担がかかり始めている
段階でした。
審美的にも前歯の問題を感じておられましたので、上顎は全体的に治す治療を
希望されました。
治療期間 12ヶ月
リスクと副作用 インプラントは、局所麻酔で手術が必要です。
静脈内鎮静下手術では、うとうと眠っている間に手術が終了し、手術中の
記憶がないことがほとんどです。
持病によっては、治療が困難な場合があります。
メインテナンスの不足、不良によって、インプラント周囲炎がおこることがあります。
上部構造のセラミックは、患者様のかみ合わせの困難さによっては、破損等不備が起こることがあります。
10年間は補償期間中ですので、無料で再治療を行うことが可能です。
詳しくはこちら

亀裂が入った差し歯を
審美修復!

case9

治療前

インプラント  

治療後

インプラント
年齢・性別 40代男性
主訴 上顎の小臼歯の差し歯が取れたと来院されました。
幸い痛みはなかったのですが、マイクロ顕微鏡で見てみると、外れた差し歯の根の部分に縦に亀裂が入っているのが確認されました。
治療期間 5ヶ月
リスクと副作用 インプラントは、局所麻酔で手術が必要です。
静脈内鎮静下手術では、うとうと眠っている間に手術が終了し、手術中の
記憶がないことがほとんどです。
持病によっては、治療が困難な場合があります。
メインテナンスの不足、不良によって、インプラント周囲炎がおこることがあります。
上部構造のセラミックは、患者様のかみ合わせの困難さによっては、破損等不備が起こることがあります。
10年間は補償期間中ですので、無料で再治療を行うことが可能です。
詳しくはこちら