お問い合わせフォーム 24時間オンライン予約 Scroll

インプラント症例7

残せる歯を
保存しながら修復!

case7

治療前

インプラント  

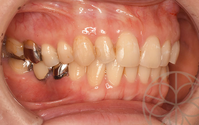
治療後

インプラント
年齢・性別 34歳女性
主訴 左上の3番目の歯の破折
治療期間 4ヶ月
リスクと副作用 インプラントは、局所麻酔で手術が必要です。
静脈内鎮静下手術では、うとうと眠っている間に手術が終了し、手術中の
記憶がないことがほとんどです。
持病によっては、治療が困難な場合があります。
メインテナンスの不足、不良によって、インプラント周囲炎がおこることがあります。
上部構造のセラミックは、患者様のかみ合わせの困難さによっては、破損等不備が起こることがあります。
10年間は補償期間中ですので、無料で再治療を行うことが可能です。
抜歯即時埋入(ワンデーインプラント)は抜歯をしてからしばらく待って、インプラント埋入する一般的な術式に比べて、高い技術力を要する可能性があります。

治療前状況①

インプラント
インプラント
インプラント
インプラント
インプラント

治療前状況②

インプラント
インプラント
インプラント

左上3番目の歯は以前に歯科治療を受けておられましたが、根管治療が完了しておらず、根管治療剤が充填されていませんでした。カリエスの再発によって、歯が柔らかい状態に溶けていますが、柔らかい部分はカリエスディテクターという薬液でカリエスの部分を除去し、正常部分まで削りました。

残った残存部分の下方は、歯肉の位置よりも深く、骨がある部分まで達していたため、通常の方法では歯を保存することが難しいと判断しました。土台を立てて、エクスとルージョンという手法で、歯を引っ張り出して、健全部分が歯肉の上に来るように設定する必要があります。この処置を行わないと、この歯を助けることができず、残念ながら抜歯の適応になります。

応急処の終了

インプラント
インプラント
インプラント
インプラント
インプラント

応急処置が終了したところで、他の歯に問題ないか、レントゲン写真CT等で検査していきます。

レントゲン写真①

インプラント
インプラント

下顎の臼歯部は、両側とも、ブリッジになっておりこの部分の清掃性や、また力の負担が強くかかっており、処置が
必要なことがわかりました。

治療中写真

インプラント
インプラント
インプラント
インプラント
インプラント

レントゲン写真②

インプラント
インプラント
インプラント
インプラント

右下ブリッジに問題があっため、除去してみると、右下5番目の歯に破折が見られました。この部分において、インプラント治療で加療することになりました。

患者様の希望により、悪いところはすべて加療することになったので、インプラント治療を含めた治療方針をつたえ、実施していくこととなりました。

インプラント埋入

インプラント
インプラント
インプラント
インプラント
インプラント
インプラント
インプラント

インプラント二本をガイドシステムを用いて理想的な位置に埋入しました。

インプラント埋入(左下)

インプラント
インプラント
インプラント
インプラント
インプラント
インプラント

左下ブリッジも一部問題があったため、セラミックブリッジにて再製を行いました。

インプラント埋入(左上)

インプラント
インプラント

左上3番部におきましては、歯質が不足しており、歯肉の上に健全歯質を移動させるため、エクスとルージョンという手法をもちいて、歯を引っ張り出して、この歯を保存する方針になりました。3か月程度かけて、歯をひっぱりだして、
固定します。

歯を矯正治療で、引っ張り出すことにより、歯肉も一緒に延長されて、審美的にも改善していきます。

セラミック治療終了

インプラント
インプラント
インプラント
インプラント
インプラント

治療後

インプラント
インプラント
インプラント
インプラント
インプラント

自信をもって笑えるようになりました。喜びの声をいただきました。

Preventual dentistry for your smile
患者様の笑顔のために

料金

インプラント1本(10年補償) 349,000円(税込み383,900円)~
セラミック上部構造1本(10年補償) 150,000円(税込み175,000円)~
エクスとルージョン1本  100,000円(税込み110,000円)~