お問い合わせフォーム 24時間オンライン予約 Scroll

インプラント症例2

再発を繰り返す原因を
根本から解決!

case2

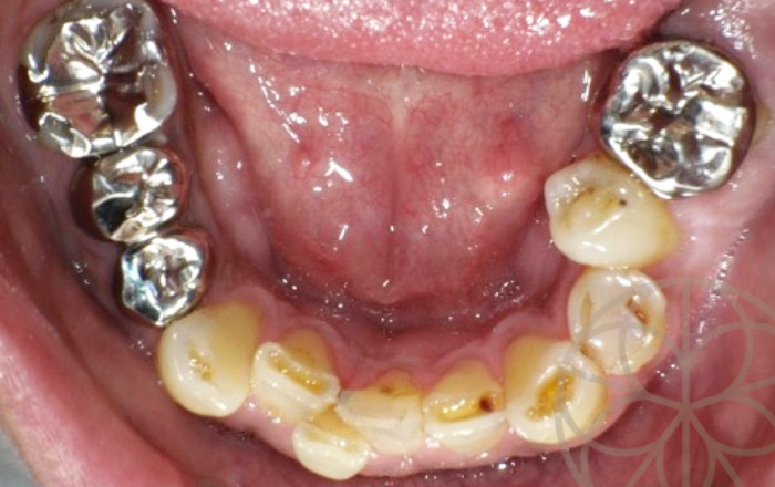
治療前

インプラント

治療後

インプラント
年齢・性別 30代男性
治療期間 3年
リスクと副作用 インプラントは、局所麻酔で手術が必要です。
静脈内鎮静下手術では、うとうと眠っている間に手術が終了し、手術中の記憶がないことがほとんどです。 持病によっては、治療が困難な場合があります。
メインテナンスの不足、不良によって、インプラント周囲炎がおこることがあります。
上部構造のセラミックは、患者様のかみ合わせの困難さによっては、破損等不備が起こることがあります。
10年間は補償期間中ですので、無料で再治療を行うことが可能です。
抜歯即時埋入(ワンデーインプラント)は抜歯をしてからしばらく待って、インプラント埋入する一般的な術式に比べて、高い技術力を要する可能性があります。

治療前状況①

インプラント
インプラント
インプラント
インプラント

30代男性
若い時から歯が悪く、虫歯の再発をくりかえしていたとのことでした。
根尖病巣(根の感染状態)が昔から、よくできいて、歯根端切除(外科的歯内療法)も行っており、その歯もまた再発しており、問題が起こっています。
患者様の要望としては、奥歯も歯がなくて咬めない。前歯にも負担がかかっており、将来的に心配である。
きちんと治療していきたいとのことでした。

治療前状況②

インプラント
インプラント
インプラント

顎も左右で非対称があって、少し下顎が前にある(下顎前突)そして、下顎非対称で、骨格的に難しい要素もありしっかりかみ合わせを求めるには、矯正治療も必要な状況でした。

治療経過①

右側臼歯部にサイナスリフトを行った後インプラント埋入。
歯根端切除をしていた歯は、治療中に悪くなったため、抜歯インプラント埋入を行いました。ある程度歯の本数がないと矯正治療は難しいのですが、インプラントを入れることによって、そのインプラントが固定源となり、矯正治療が可能になります。
下顎が前方にあり、受け口傾向にあったため、下顎の前歯は1本抜歯を行って矯正治療を行いました。

インプラント

治療経過②

インプラントを最小本数埋入したことによって、バランスの良いかみ合わせを得ることができました。

インプラント

治療後

インプラント
インプラント
インプラント

上下のバランスを矯正治療で整え、最終セラミックを装着しました。
右側上顎2番部には、結合組織移植を行い、軟組織の不足を解消しております。
良く咬めて、見た目的にもよくなったと患者さまには大変満足していただくことができました。
〜Preventual dentistry for your smile 患者様の笑顔のために〜

料金

インプラント1本(10年補償) 349,000円(税込み383,900円)~
セラミック上部構造1本(10年補償) 150,000円(税込み175,000円)~
矯正治療 770,000円(税込み847,000円)~