上顎の小臼歯の差し歯が取れたと来院されました。
幸い痛みはなかったのですが、マイクロ顕微鏡で見てみると、外れた差し歯の根の部分に縦に亀裂が入っているのが確認されました。
亀裂が入った差し歯を
審美修復!
case9
治療前

治療後

年齢・性別 | 40代男性 |
---|---|
主訴 | 上顎の小臼歯の差し歯が取れたと来院されました。 幸い痛みはなかったのですが、マイクロ顕微鏡で見てみると、外れた差し歯の根の部分に縦に亀裂が入っているのが確認されました。 |
治療期間 | 5ヶ月 |
リスクと副作用 | インプラントは、局所麻酔で手術が必要です。 静脈内鎮静下手術では、うとうと眠っている間に手術が終了し、手術中の 記憶がないことがほとんどです。 持病によっては、治療が困難な場合があります。 メインテナンスの不足、不良によって、インプラント周囲炎がおこることがあります。 上部構造のセラミックは、患者様のかみ合わせの困難さによっては、破損等不備が起こることがあります。 10年間は補償期間中ですので、無料で再治療を行うことが可能です。 |
治療前状況

治療前レントゲン写真
レントゲンでも縦に亀裂が入っているのが確認できます。亀裂が入っていることだけであれば、治すことができることもあるのですが、このケースでは、全体的に歯質が傷んでいることと、根尖にも病変が少しあり、保存が難しいと判断しました。

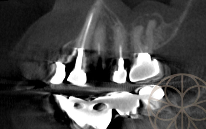
治療前CT写真


CTでは、外側には、骨が少ないですが、根の先の部分と内側には、十分に骨があると判断し、抜歯して、同時にインプラント埋入する抜歯即時埋入インプラント(ワンデーインプラント)が可能であると診断しました。
治療中写真(抜歯)


歯肉を傷つけないように抜歯を行います。
治療中写真(インプラント埋入)


抜歯をして、インプラント埋入し、同日に仮の歯
(スクリュー固定仮の歯)をセットします。
治療中写真(レントゲン写真)


抜歯をして、やや内側にインプラント埋入をしています。
シリコン材料にて印象を取ります
仮の歯で2か月ほど経過観察をして、シリコン材料にて印象を取ります。
写真は、歯肉の形態を写し取り、歯肉の張りを持たせた状態で、印象をとるカスタムインプレッションコーピングという手法で印象をとっています。

印象をとった直後


インプラントが埋入され、印象をとった直後です。
歯肉の色調、形態もよく、自然な治癒を望めることが、抜歯即時埋入(ワンデーインプラント)の特長です。
セラミックをセット


スクリュー固定式でセラミックをセットしています。
何か問題があればすぐにスクリューを緩めて、精査ができるのもスクリュー固定セラミックの特長です。清潔に管理もしやすいです。
治療後写真


前歯部の治療
前歯部の症例
治療前

治療後

治療前写真①
同じ患者さまですが、前歯部の差し歯も取れてしまいました。いづれも何年も前に他院で治療したところです。

治療前写真②


シリコンで印象をとる際に歯肉圧排といって、歯肉と、歯の外形を正確にとる手法をとっています。
これにより、正確な印象をとることが可能になります。
治療後写真①


歯肉の形態と色調を合わせて、セラミックの色調を隣の歯と合わせて審美的に仕上げることができました。
法人所属のの審美専門の技工士と、密に連携をとり色調、形態を合わせるように心がけています。
治療後写真②
特長のある隣の歯に合わせて、形態と色調を整えます。
患者様には、とても喜んでいただきました。

Preventual dentistry for your smile
患者様の笑顔のために
料金
インプラント1本(10年補償) | 349,000円(税込み383,900円)~ |
---|---|
セラミック上部構造1本(10年補償) | 150,000円(税込み175,000円)~ |
セラミック歯(5年補償) | 129,000円(税込み141,900円)~ |