お問い合わせフォーム 24時間オンライン予約 Scroll

セラミック症例4

前歯の歪みを治し、
対象的な美しい歯に!

case4

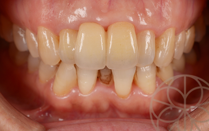
治療前

インプラント  

治療後

インプラント
年齢・性別 60代女性
主訴 以前から歯の色が悪いのと、前歯が歪んでいるのが気になる。
治療期間 インプラント、その他セラミック治療 6ヶ月
前歯部分的矯正治療 3ヶ月

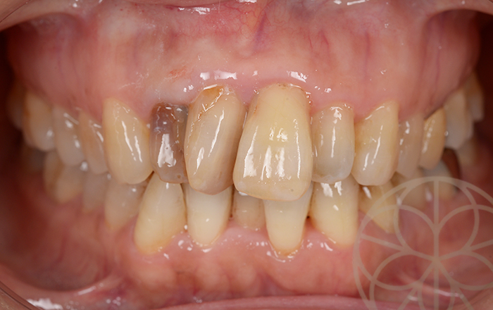
治療前状況①

インプラント
インプラント

60代の女性です。以前から歯の色が悪いのと、前歯が歪んでいるのが気になるとお悩みになってきました。
また最近ブラッシング時に歯肉からの出血も多くなってきたと感じておられて、改善を求めて来院されました。

治療前状況②

インプラント
インプラント
インプラント
インプラント

右側の前から2番目の歯が神経が死んでいるため、色が悪く、審美的に問題が出ています。
右側の前から1番目の歯がスペースがないため、約90度ゆがんでいることがわかります。矯正治療はきぼうされなかったため、右上1番の歯を頭の部分(歯冠)のみ取り除いて、ブリッジタイプで修復する計画となりました。

右上1番の根は残すため、歯肉の退縮や陥凹は、防ぐことができます。

治療前状況③

インプラント
インプラント
インプラント

模型の歯形(診断用ワックスアップ)の
作成

インプラント
インプラント

仮の歯をセット

インプラント
インプラント

設計図に基づいて、右側1番の歯冠を取り除いて、仮の歯をセットします。この状態で、しばらく、かみ合わせ、発音、形態等が問題ないか確認します。歯肉の治癒を待つことも重要です。

最終の仮歯を入れ、患者様と確認

インプラント
インプラント
インプラント
インプラント

歯肉がある程度治癒したら、最終の形態にほぼちかい最終の仮の歯を入れて、清掃性、審美性、発音、その他を確認します。患者様の了解が得られたら、セラミック歯の型取りに移行していきます。

細かい問題点を修正

インプラント
インプラント
インプラント
インプラント
インプラント

最終の型取りをおこない、最終のセラミック歯の試適(問題ないか確認する作業)の際、右側1番目の歯肉との境目が少し修正する必要があったため、修正しました。試適をすることで、細かい問題点も修正することができます。

模型の歯形での修正

インプラント
インプラント

その修正を模型上でもう一度修正します。

最終のセラミックセット

インプラント
インプラント

最終のセラミックをセットした写真です。
清掃しやすく、歯肉の出血もない状態を維持しやすい形態になっています。

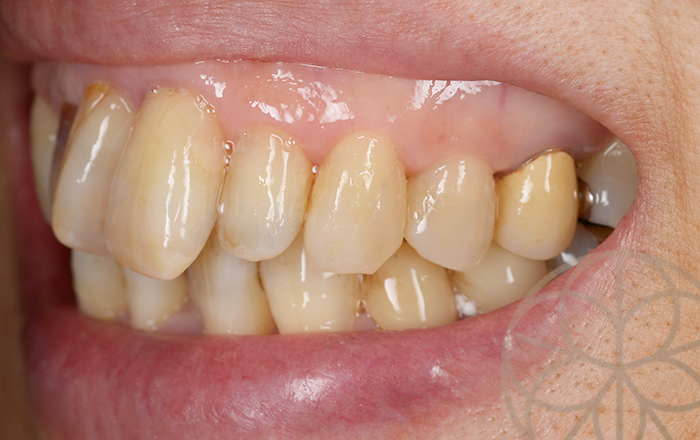
治療後写真①

インプラント
インプラント

治療後写真②

インプラント
インプラント

治療後写真③

インプラント
インプラント
インプラント

スペースの問題から、1番目と2番目の間は少し重ねてはいちしていますが、左側の2番は今回処置していないので、この歯を基準に左右対称になるように設計しました。

患者様にも大変喜んでいただき、悩みがなくなりました。とお伝えいただきました。

Preventual dentistry for your smile
患者様の笑顔のために

料金

セラミック歯 (5年補償) 129,000円(税込み141,900円)~