お問い合わせフォーム 24時間オンライン予約 Scroll

セラミック症例5

諦めていた噛み合わせも
色も修復!

case5

治療前

インプラント  

治療後

インプラント
年齢・性別 50代女性
主訴 左下の差し歯が抜けた。前歯の噛み合わせ、色も気になっている。
治療期間 インプラント、その他セラミック治療 6ヶ月
前歯部分的矯正治療 3ヶ月
リスクと副作用 インプラントは、局所麻酔で手術が必要です。
静脈内鎮静下手術では、うとうと眠っている間に手術が終了し、手術中の記憶がないことがほとんどです。
持病によっては、治療が困難な場合があります。
メインテナンスの不足、不良によって、インプラント周囲炎がおこることがあります。上部構造のセラミックは、患者様のかみ合わせの困難さによっては、破損等不備が起こることがあります。10年間は補償期間中ですので、無料で再治療を行うことが可能です。
抜歯即時埋入(ワンデーインプラント)は抜歯をしてからしばらく待って、インプラント埋入する一般的な術式に比べて、高い技術力を要する可能性があります。
部分的矯正治療、
一部後戻りの可能性があります。

治療前状況①

インプラント
インプラント
インプラント
インプラント
インプラント

50代女性、左下の差し歯が抜けたところの改善を主訴に来院されました。
しかし患者様の話を伺っていると、前歯の見た目の部分も気になるとのことで、この色の問題や、歯並びが反対になっていることはなかば諦めているとのことでした。

治療前状況②

レントゲン写真では、多くのカリエスがあり、処置が必要であること、また左下6番の歯は、破折しており、インプラント治療が必要な状態であることを説明をさせていただきました。

インプラント

左下6番インプラント埋入

インプラント
インプラント
インプラント
インプラント
インプラント
インプラント

左下6番のインプラント埋入、虫歯の再発しているところの処置を終了し、メインテナンスに移行をしようとしていた時、前歯の反対になっているところを改善できないか?
費用的には、全体の矯正治療を行うほどの費用は支払うことができないということで、前歯部ののみの改善を行うこととしました。

ブラケット、ワイヤーセット

インプラント
インプラント
インプラント
インプラント
インプラント

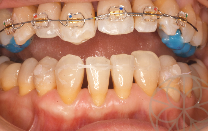
前歯の反対のかみ合わせを治すのに、上の歯の必要最低限のブラケット(歯につけている矯正装置)を設置し、ワイヤーをセットしました。上の歯の改善をする際、下の歯とのかみ合わせもありますので、下の歯の調整も必要です。
こちらも必要最低限の装置にて対応しました

ワイヤーセット後3ヶ月

インプラント
インプラント
インプラント
インプラント
インプラント
インプラント

ワイヤーセット後3か月治療を終了しました。
下の前歯のかみあせも変えることで、安定して、咬むこともできるようになりました。審美面の改善を最大の目的として行いますが、 やはり咬み合わせの改善が矯正治療の後戻り防止に役立ちますし、将来的に歯を失わないで済むベースになりますので、このあたりもこだわって治療させていただきました。
患者さまは、大変満足されており、われわれ治療者も大変うれしく思っています。

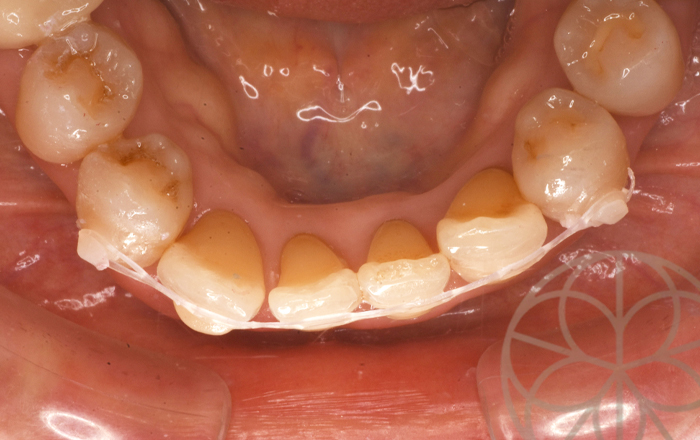
治療後写真

治療開始から3ヶ月で終了。
現在クリアリテーナーで保定中。
患者さんも大変満足されています。

インプラント

Preventual dentistry for your smile
患者様の笑顔のために

料金

インプラント1本 (10年補償) 349,000円(税込み383,900円)~
セラミック上部構造 (10年補償) 150,000円(税込み175,000円)~
前歯部部分的矯正治療 200,000円(税込み220,000円)~
セラミック歯 (5年補償) 80,000円(税込み88,000円)~