お問い合わせフォーム 24時間オンライン予約 Scroll

マウスピース矯正症例1

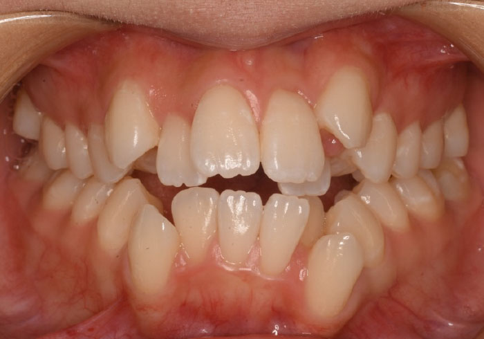
歯のガタガタを治したい

医師コメント

歯が重なって生えており難しいケースですが、TADsというスクリュー装置を併用して治療を行いました。
重なっている歯は虫歯のリスクも高くなり、歯を痛めるリスクが高くなります。
審美的にも歯並びが改善されると笑顔に自信が持てます。

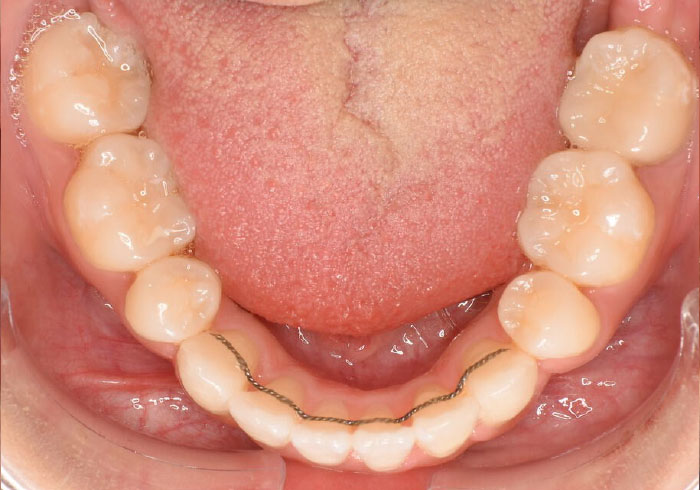
口腔内写真

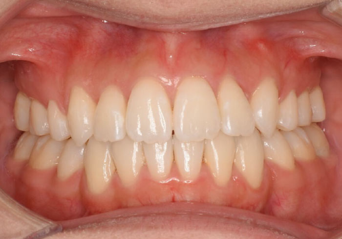
治療前

マウスピース矯正 マウスピース矯正 マウスピース矯正

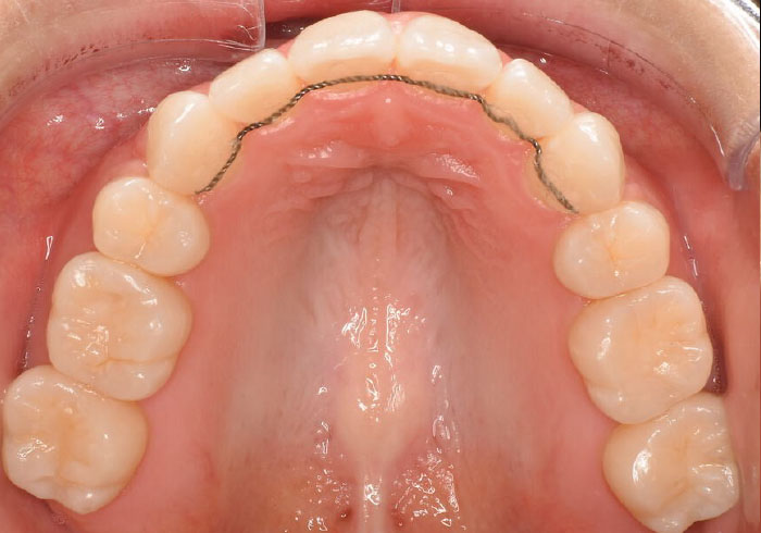
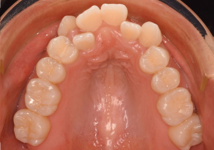
治療後

マウスピース矯正 マウスピース矯正 マウスピース矯正

顔貌写真

治療前

マウスピース矯正 マウスピース矯正 マウスピース矯正

治療後

マウスピース矯正 マウスピース矯正 マウスピース矯正
治療法 マウスピース矯正
主訴 歯のガタガタを治したい。
治療期間 2年半
リスクと副作用 1日のマウスピースの使用時間と交換日数を遵守できない場合、計画通り歯が動かない可能性がある。