お問い合わせフォーム 24時間オンライン予約 Scroll

マウスピース矯正症例2

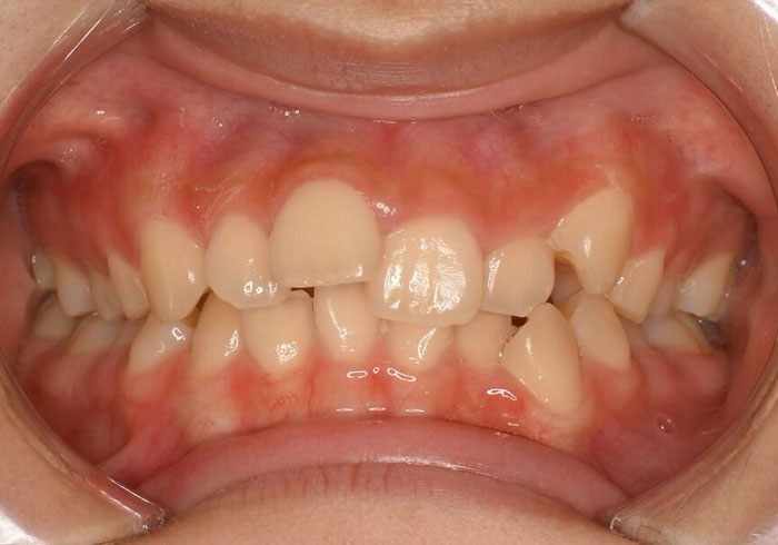
前歯が出ているのが気になる

医師コメント

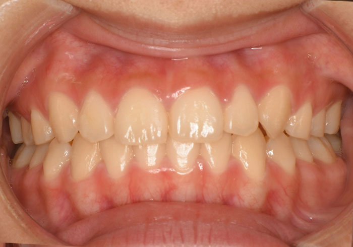
歯のガタガタ(叢生)を治療するときには前から4番目の歯を抜くことが多いですが、今回はお顔とのバランスを考慮し、親知らずのみ抜歯して治療を行いました。

口腔内写真

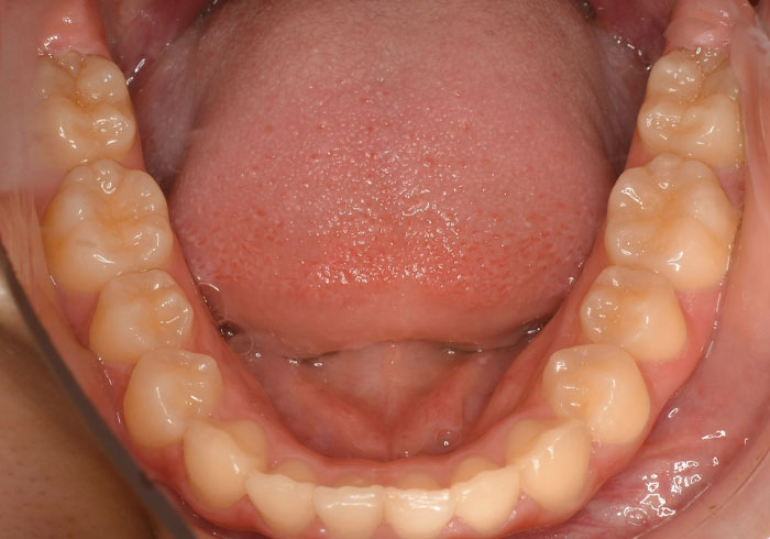
治療前

マウスピース矯正 マウスピース矯正 マウスピース矯正

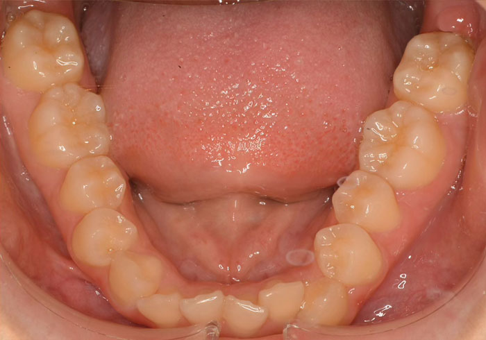
治療後

マウスピース矯正 マウスピース矯正 マウスピース矯正
治療法 マウスピース矯正
主訴 前歯が出ているのが気になる。
治療期間 1年半
リスクと副作用 1日のマウスピースの使用時間と交換日数を遵守できない場合、計画通り歯が動かない可能性がある。