お問い合わせフォーム 24時間オンライン予約 Scroll

マウスピース矯正症例3

歯のガタガタを治したい

医師コメント

もともと右上前から4番目の歯が1本欠損しており、左右のバランスを合わせるために右下の歯を1本抜歯して治療を行いました。

必ずしも歯を抜かないと矯正治療ができないというわけではありませんが「笑顔やお顔とのバランス」を考慮し、今回は抜歯を提案させていただきました。

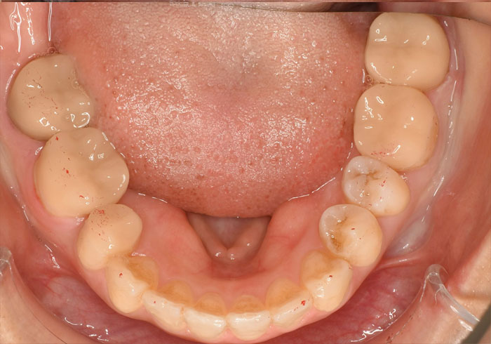
口腔内写真

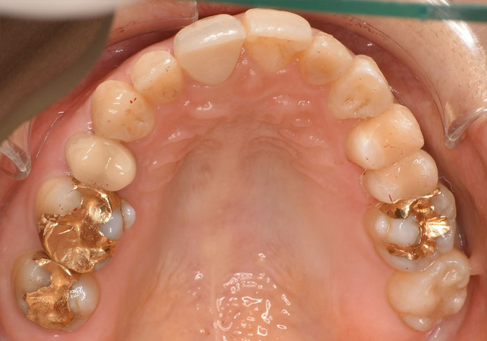
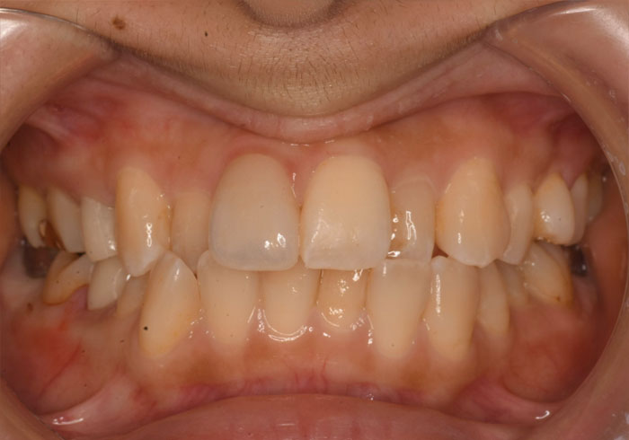
治療前

マウスピース矯正 マウスピース矯正 マウスピース矯正

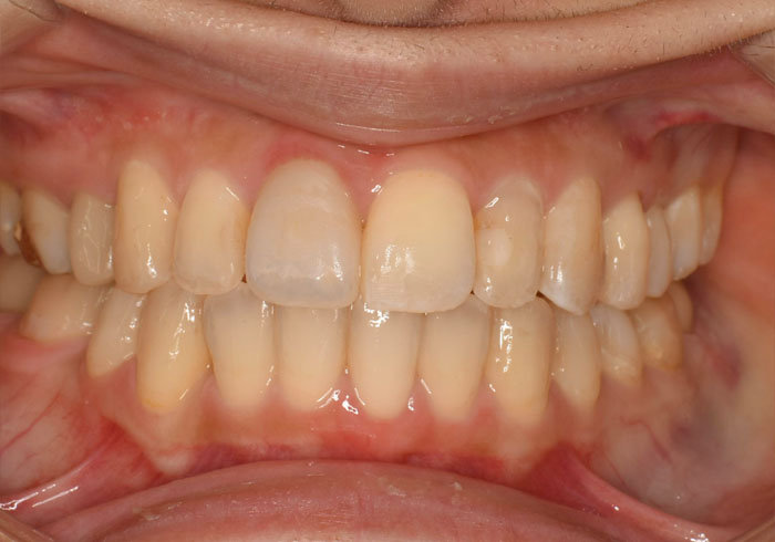
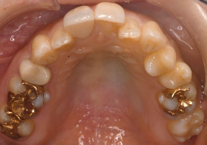
治療後

マウスピース矯正 マウスピース矯正 マウスピース矯正
治療法 マウスピース矯正
主訴 歯のガタガタを治したい。
治療期間 2年半
リスクと副作用 1日のマウスピースの使用時間と交換日数を遵守できない場合、計画通り歯が動かない可能性がある。