お問い合わせフォーム 24時間オンライン予約 Scroll

マウスピース矯正症例4

前歯のねじれが気になる

医師コメント

ガミースマイル(笑った時の歯ぐきの露出)も気にされていたので、歯ぐきの処置も併用して治療を行いました。

歯並びが改善されると口周りの筋肉が整い、口角の上がり方も変わってきます。

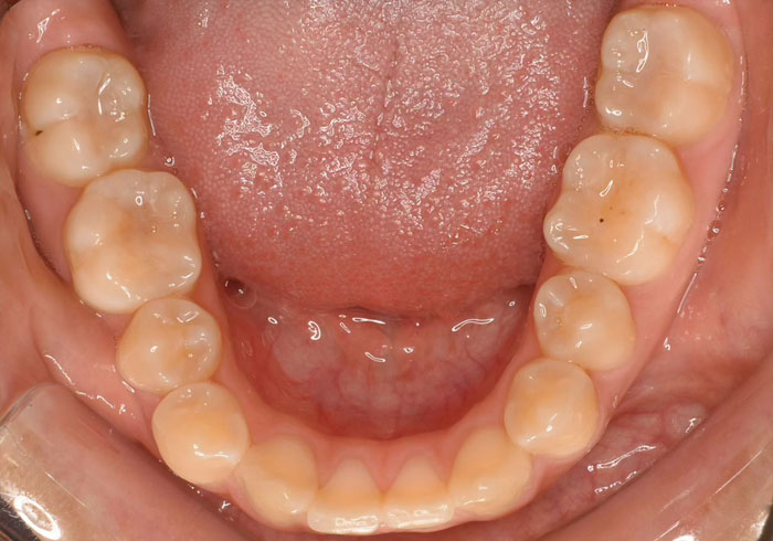
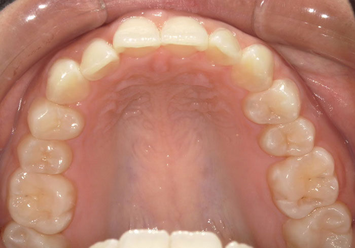
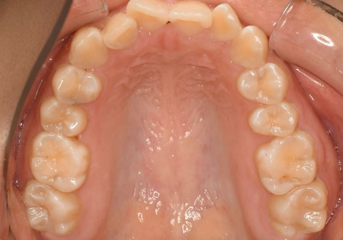
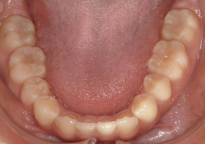
口腔内写真

治療前

マウスピース矯正 マウスピース矯正 マウスピース矯正

治療後

マウスピース矯正 マウスピース矯正 マウスピース矯正

顔貌写真

治療前

マウスピース矯正 マウスピース矯正 マウスピース矯正

治療後

マウスピース矯正 マウスピース矯正 マウスピース矯正
治療法 マウスピース矯正
主訴 前歯のねじれが気になる。
治療期間 2年半
リスクと副作用 1日のマウスピースの使用時間と交換日数を遵守できない場合、計画通り歯が動かない可能性がある。