お問い合わせフォーム 24時間オンライン予約 Scroll

マウスピース矯正症例5

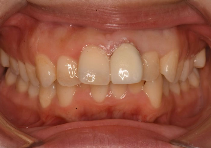
上下のガタガタと上顎前歯の前突を治したい

医師コメント

一般的には叢生(ガタガタ)の治療には抜歯を伴うケースが多いですが、今回は抜歯をしたくないという患者様の希望もあり、抜歯はせずに治療を行うこととなりました。上顎奥歯の遠心移動(後に移動すること)を行い患者様の要望をかなえることができました。

マウスピース矯正はとても難しい治療ですが、正しい知識と技術があれば素晴らしい治療結果が生まれます。

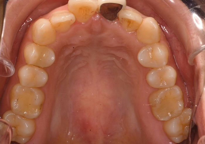
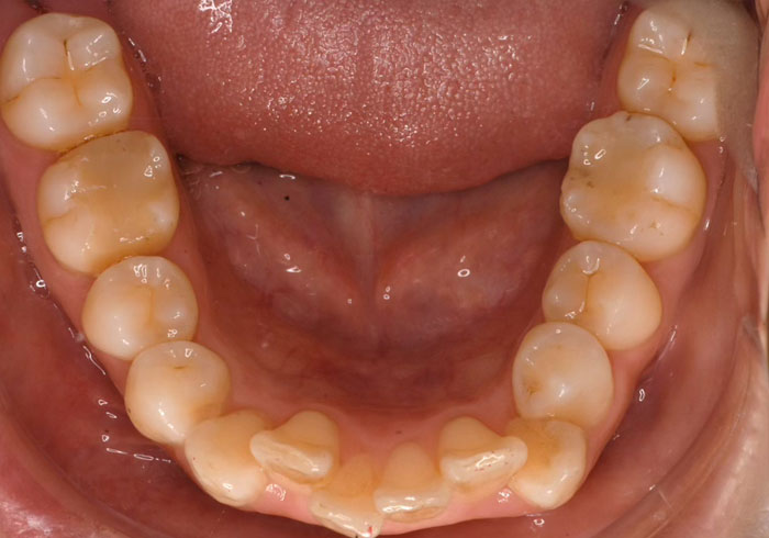
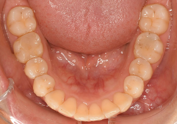
口腔内写真

治療前

マウスピース矯正 マウスピース矯正 マウスピース矯正

治療後

マウスピース矯正 マウスピース矯正 マウスピース矯正

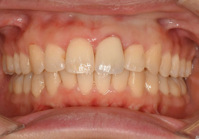
顔貌写真

治療前

マウスピース矯正

治療後

マウスピース矯正
治療法 マウスピース矯正
主訴 上下のガタガタと上顎前歯の前突を治したい。
治療期間 2年
リスクと副作用 1日のマウスピースの使用時間と交換日数を遵守できない場合、計画通り歯が動かない可能性がある。