お問い合わせフォーム 24時間オンライン予約 Scroll

マウスピース矯正症例7

すきっ歯を治したい

医師コメント

正中離開(すきっ歯)は年齢とともに進行しやすいです。進行をとめるためには見た目の改善だけではなく、全体のかみ合わせを整えることが重要です。

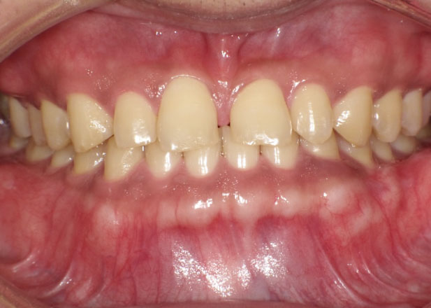
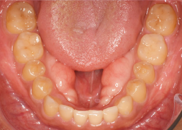
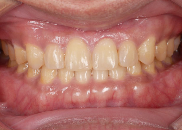
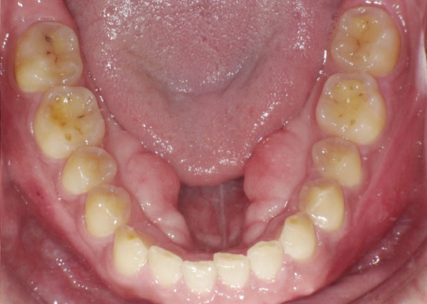
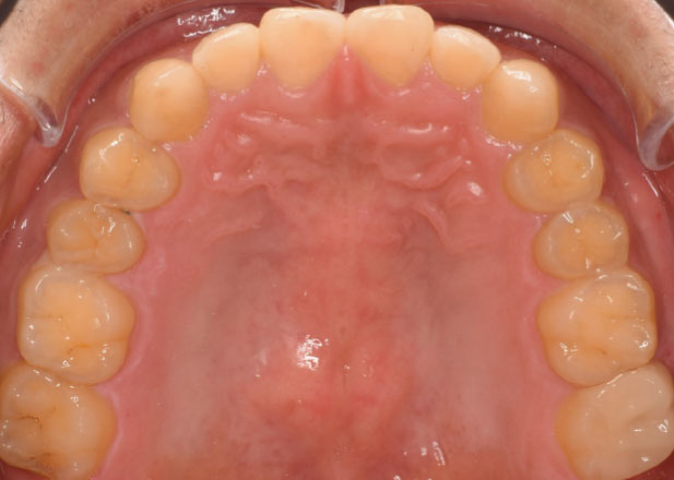
口腔内写真

治療前

マウスピース矯正 マウスピース矯正 マウスピース矯正

治療後

マウスピース矯正 マウスピース矯正 マウスピース矯正
治療法 マウスピース矯正
主訴 正中離開(すきっ歯)を治したい。
治療期間 1年
リスクと副作用 1日のマウスピースの使用時間と交換日数を遵守できない場合、計画通り歯が動かない可能性がある。