お問い合わせフォーム 24時間オンライン予約 Scroll

マウスピース矯正症例8

かみあわせを治したい

医師コメント

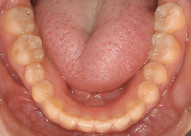
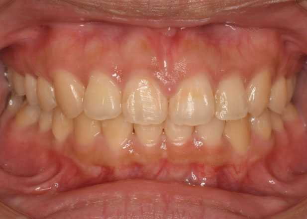
犬歯、いわゆる糸切り歯がかんでおらず、叢生(ガタガタ)の状態でした。

犬歯はかみあわせの鍵となる歯で、犬歯がかんでいないと様々なお口のトラブルを誘発します。歯を長持ちさせるためには犬歯のかみあわせは非常に重要です。

口腔内写真

治療前

マウスピース矯正 マウスピース矯正 マウスピース矯正

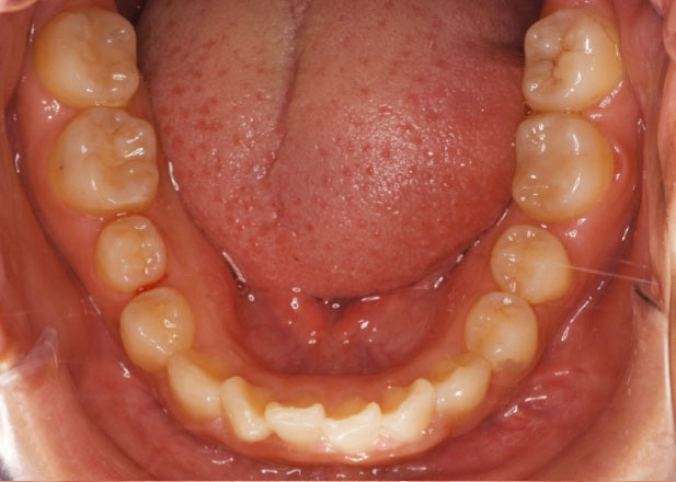
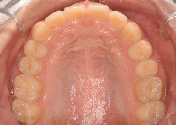
治療後

マウスピース矯正 マウスピース矯正 マウスピース矯正
治療法 マウスピース矯正
主訴 かみあわせを治したい。
治療期間 2年半
リスクと副作用 1日のマウスピースの使用時間と交換日数を遵守できない場合、計画通り歯が動かない可能性がある。