お問い合わせフォーム 24時間オンライン予約 Scroll

マウスピース矯正症例9

歯のガタガタを治したい

医師コメント

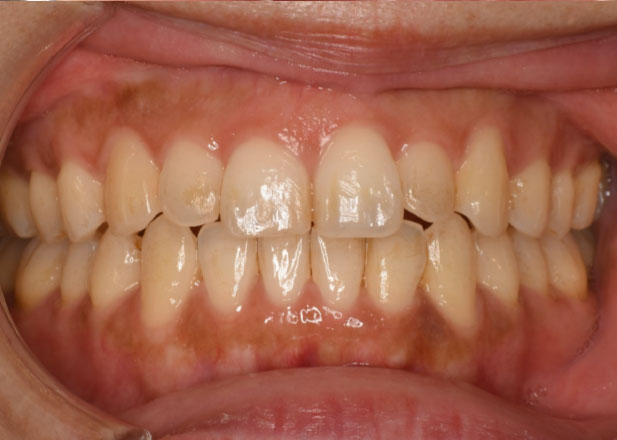
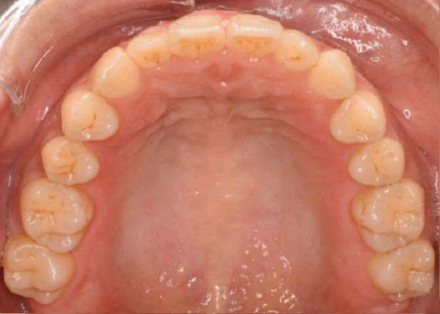
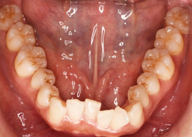
叢生(ガタガタ)がみられ、前歯がしっかりかんでいない状態でした。

一般的には叢生(ガタガタ)の治療には抜歯を伴うケースが多いですが、今回は抜歯はせずに治療を行っています。

歯を抜くかどうかは「笑顔、お顔の美しさ」を考慮し、患者様それぞれのケースに応じてご提案させていただきます。

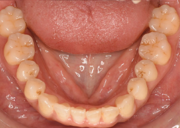
口腔内写真

治療前

マウスピース矯正 マウスピース矯正 マウスピース矯正

治療後

マウスピース矯正 マウスピース矯正 マウスピース矯正
治療法 マウスピース矯正
主訴 歯のガタガタを治したい。
治療期間 2年
リスクと副作用 1日のマウスピースの使用時間と交換日数を遵守できない場合、計画通り歯が動かない可能性がある。