お問い合わせフォーム 24時間オンライン予約 Scroll

マウスピース矯正症例10

かみ合わせを治したい

医師コメント

かみ合わせの不調により痛みも生じている状態でしたが治療後は痛みをなく経過良好です。

今回は前から4番目の歯を1本抜歯して治療を行いました。

必ずしも歯を抜かないと矯正治療ができないというわけではありませんが「笑顔やお顔とのバランス」を考慮し、今回は抜歯を提案させていただきました。

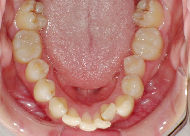
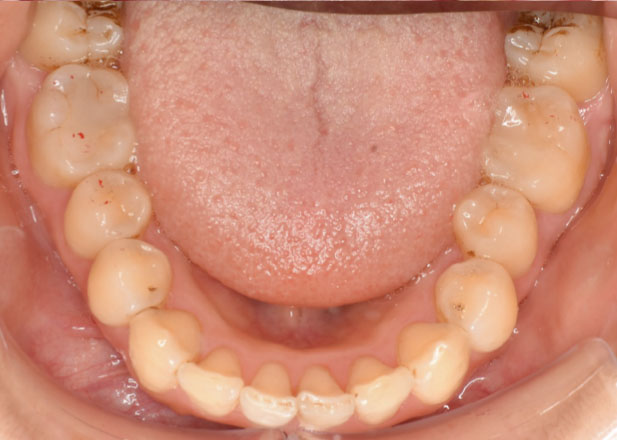
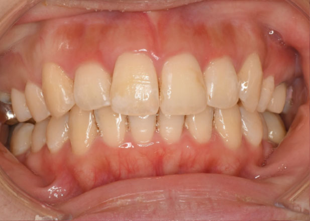
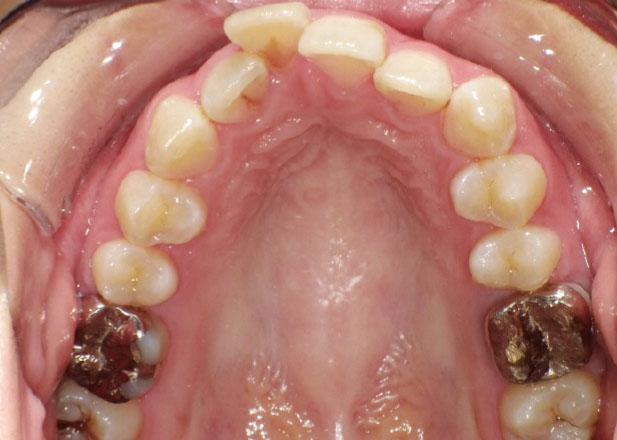
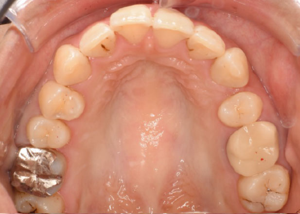
口腔内写真

治療前

マウスピース矯正 マウスピース矯正 マウスピース矯正

治療後

マウスピース矯正 マウスピース矯正 マウスピース矯正
治療法 マウスピース矯正
主訴 かみ合わせを治したい。
リスクと副作用 1日のマウスピースの使用時間と交換日数を遵守できない場合、計画通り歯が動かない可能性がある。