お問い合わせフォーム 24時間オンライン予約 Scroll

マウスピース矯正症例11

歯並びを治したい

医師コメント

マウスピース矯正では難しいと言われる八重歯の治療を行っています。

今回は前から4番目の歯を1本抜歯して治療を行いました。

必ずしも歯を抜かないと矯正治療ができないというわけではありませんが「笑顔やお顔とのバランス」を考慮し、今回は抜歯を提案させていただきました。

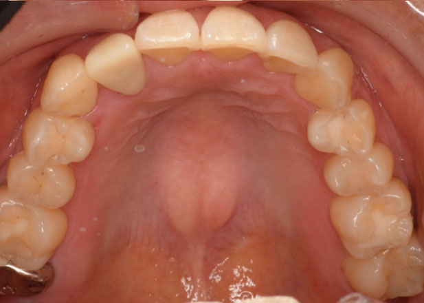
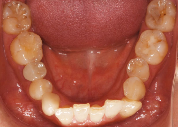
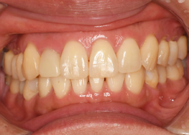
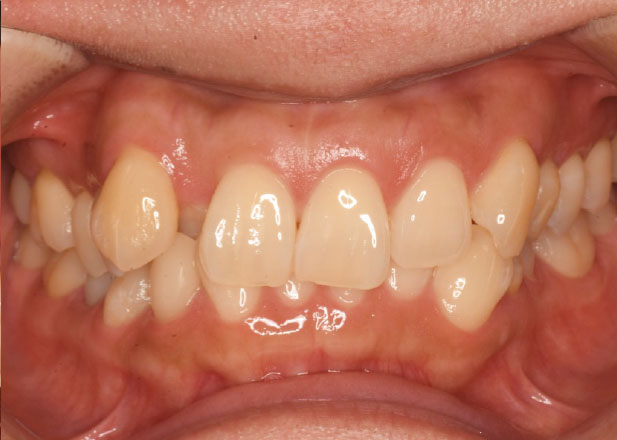
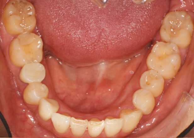
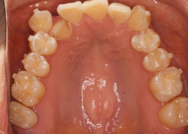
口腔内写真

治療前

マウスピース矯正 マウスピース矯正 マウスピース矯正

治療後

マウスピース矯正 マウスピース矯正 マウスピース矯正
治療法 マウスピース矯正
主訴 歯並びを治したい。
治療期間 4年
リスクと副作用 1日のマウスピースの使用時間と交換日数を遵守できない場合、計画通り歯が動かない可能性がある。