お問い合わせフォーム 24時間オンライン予約 Scroll

マウスピース矯正症例12

すきっ歯を治したい

医師コメント

今回はTADsというスクリュー装置を併用して治療を行いました。

スクリューにより従来では難しかった歯の動きを可能にし、治療期間の短縮や患者さんの負担を軽減することができます

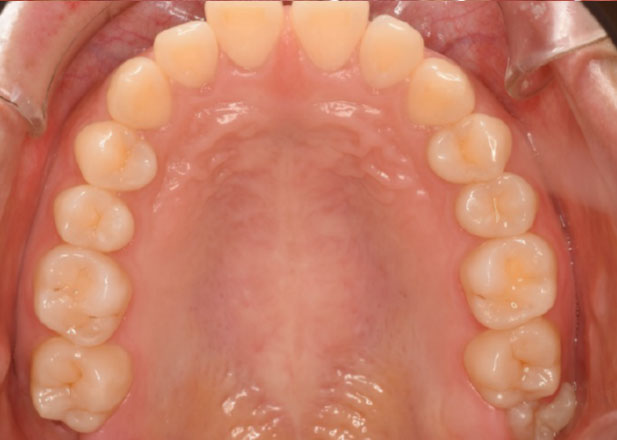
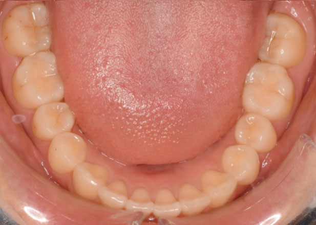
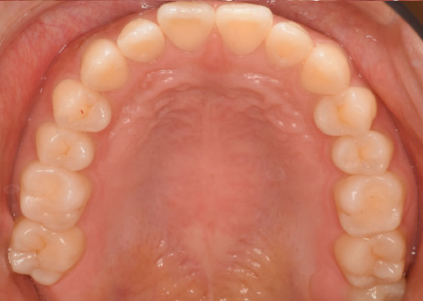
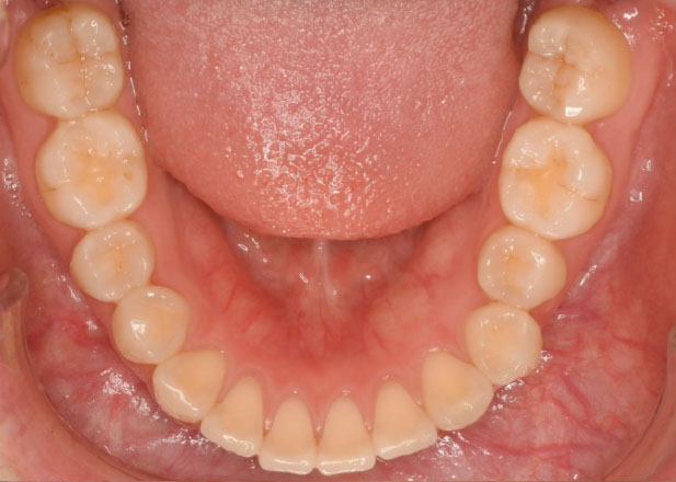
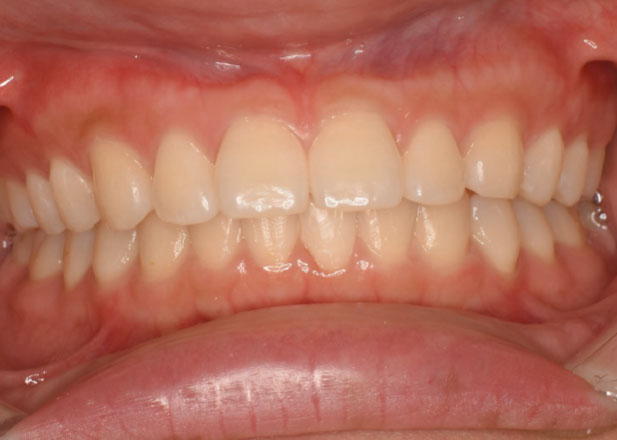
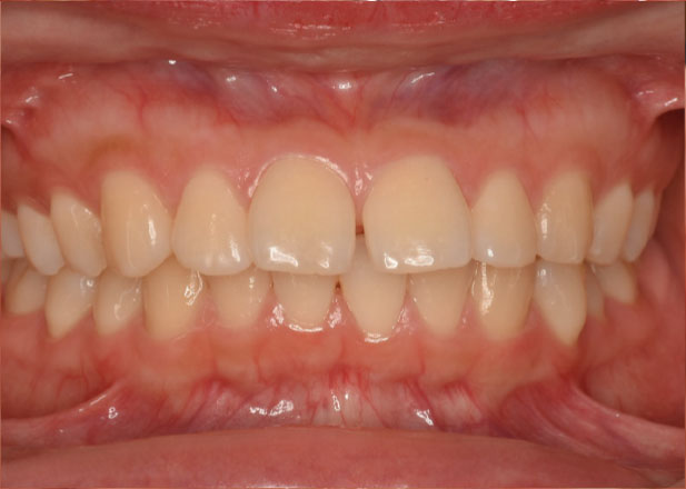
口腔内写真

治療前

マウスピース矯正 マウスピース矯正 マウスピース矯正

治療後

マウスピース矯正 マウスピース矯正 マウスピース矯正
治療法 マウスピース矯正
主訴 正中離開(すきっぱ)を治したい。
治療期間 2年半
リスクと副作用 1日のマウスピースの使用時間と交換日数を遵守できない場合、計画通り歯が動かない可能性がある。