お問い合わせフォーム 24時間オンライン予約 Scroll

マウスピース矯正症例13

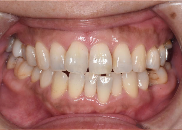
インプラント治療を生かした前歯の矯正

医師コメント

以前右上6にインプラント治療を行い、それを生かしながら、前歯の矯正を行いたいという患者様に治療を行いました。

インプラント治療を行った歯は動かすことができないので治療方針を立てる際に難易度が高まりますが、適切に診断することで安全に治療を行うことができます。右側下顎臼歯をカリエールシステムを用いて遠心移動させて、下顎前突傾向、非対称に対して治療を行いました。

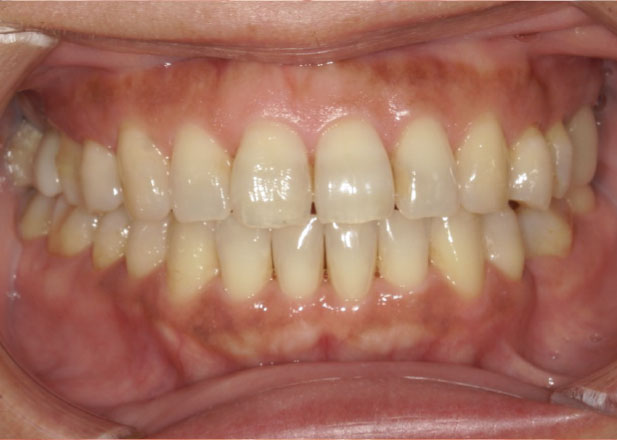
口腔内写真

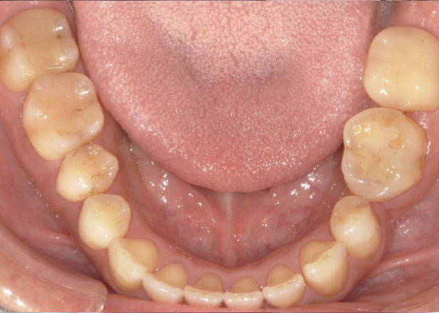
治療前

マウスピース矯正 マウスピース矯正 マウスピース矯正

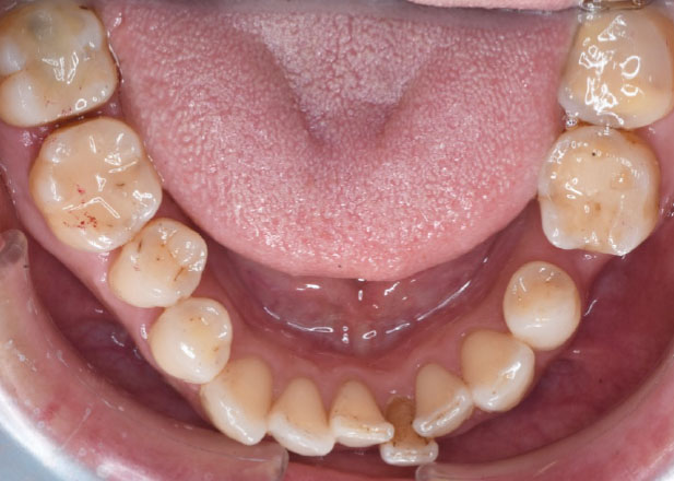
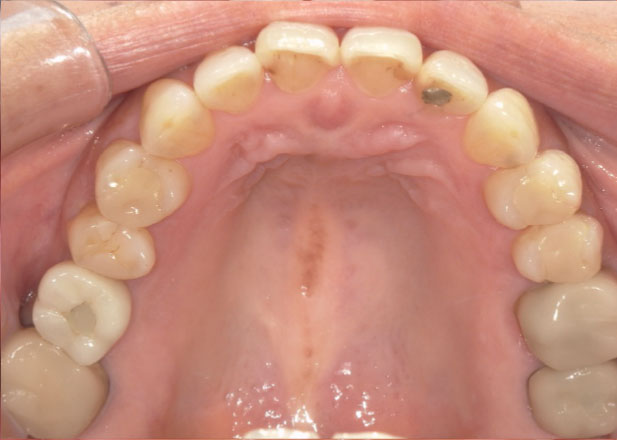
治療後

マウスピース矯正 マウスピース矯正 マウスピース矯正
治療法 マウスピース矯正
主訴 インプラント治療を生かした前歯の治療を行いたい。
治療期間 2年
リスクと副作用 1日のマウスピースの使用時間と交換日数を遵守できない場合、計画通り歯が動かない可能性がある。