お問い合わせフォーム 24時間オンライン予約 Scroll

マウスピース矯正症例14

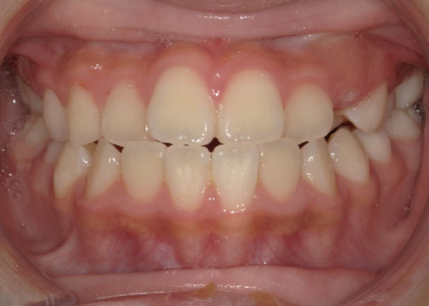
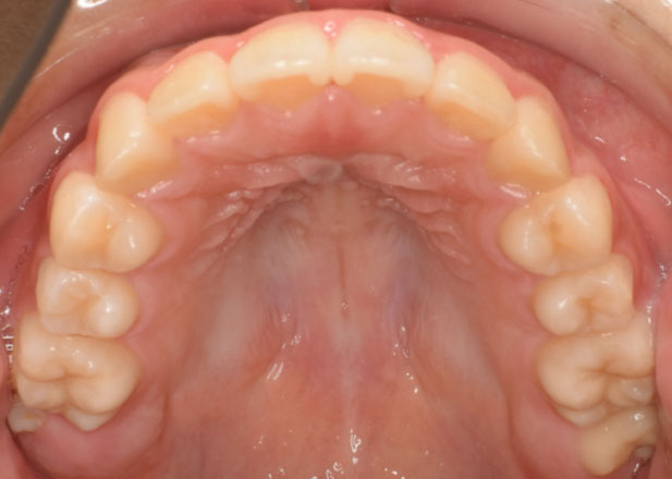
受け口を治したい

医師コメント

骨格性3級、いわゆる受け口傾向の患者様に治療を行いました。

受け口の傾向が強い患者様には手術を提案することもありますが、なるべく手術は避けたいという患者様の希望もありマウスピース矯正のみで対応させていただきました。
マウスピース矯正はとても難しい治療ですが、正しい知識と技術があれば素晴らしい治療結果が生まれます。

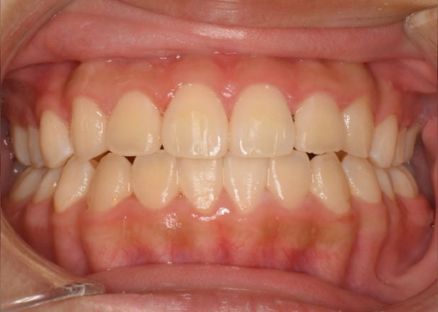
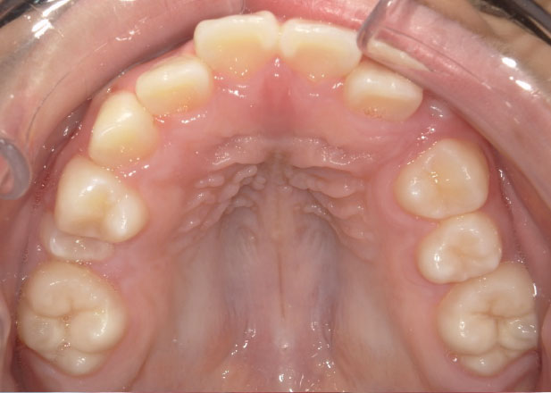
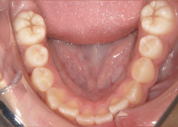
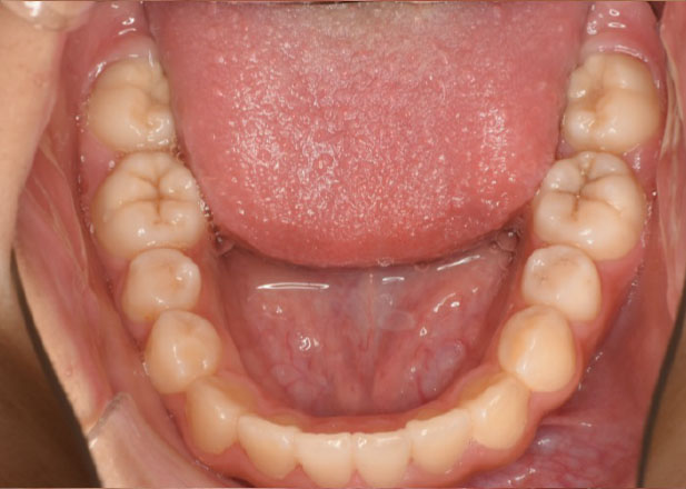
口腔内写真

治療前

マウスピース矯正 マウスピース矯正 マウスピース矯正

治療後

マウスピース矯正 マウスピース矯正 マウスピース矯正
治療法 マウスピース矯正
主訴 受け口を治したい。
治療期間 3年
リスクと副作用 1日のマウスピースの使用時間と交換日数を遵守できない場合、計画通り歯が動かない可能性がある。