お問い合わせフォーム 24時間オンライン予約 Scroll

マウスピース矯正症例16

歯のガタガタを治したい

医師コメント

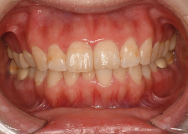
妊娠、出産などのイベントもあった患者様でしたが仕上がりにも満足いただけました。
マウスピース矯正は従来のワイヤー矯正とは違い、妊娠中や産後でも治療を行うことができます。ご興味ある方はぜひご相談ください。

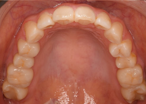
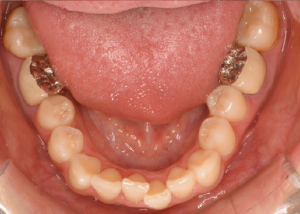
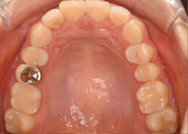
口腔内写真

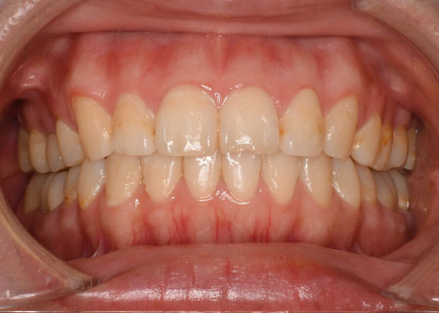
治療前

マウスピース矯正 マウスピース矯正 マウスピース矯正

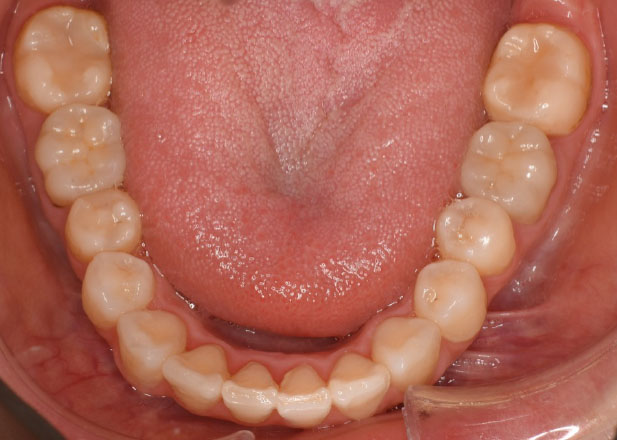
治療後

マウスピース矯正 マウスピース矯正 マウスピース矯正
治療法 マウスピース矯正
主訴 歯のガタガタを治したい。
治療期間 3年
リスクと副作用 1日のマウスピースの使用時間と交換日数を遵守できない場合、計画通り歯が動かない可能性がある。