お問い合わせフォーム 24時間オンライン予約 Scroll

マウスピース矯正症例17

咬合不良による歯の痛みを治したい

医師コメント

かみあわせにより歯の痛みが生じていた方に治療を行いました。

犬歯(糸切り歯)のポジションが悪く奥歯に負担をかけているケースでした。
このようなケースでは歯が割れたり折れたりしやすくなります。歯を長持ちさせるためにも矯正治療はとても重要です。

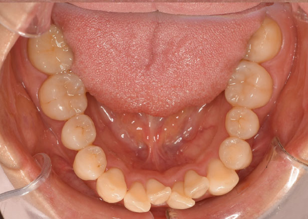
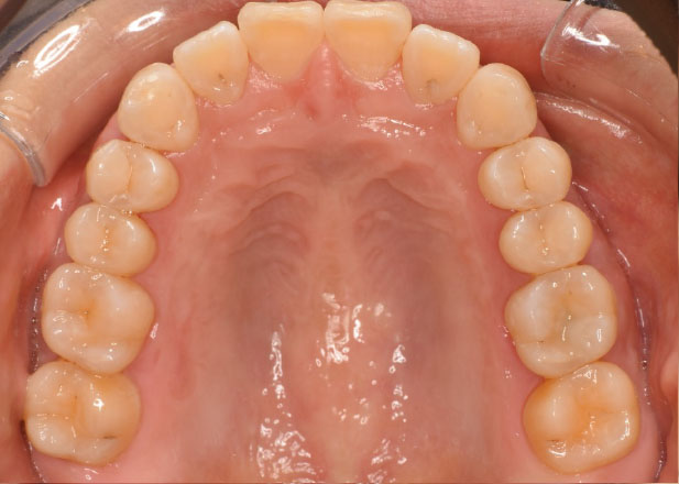
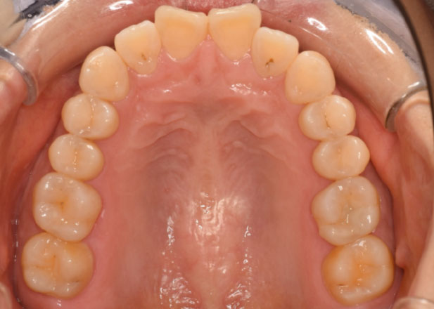
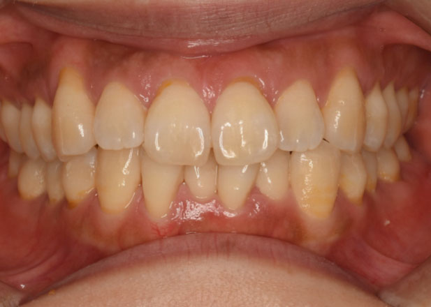
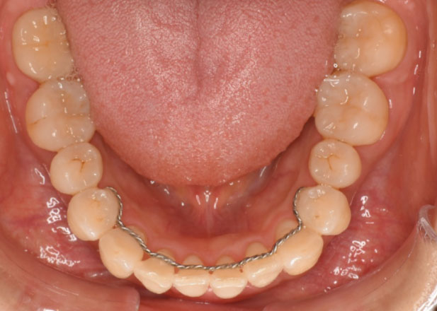
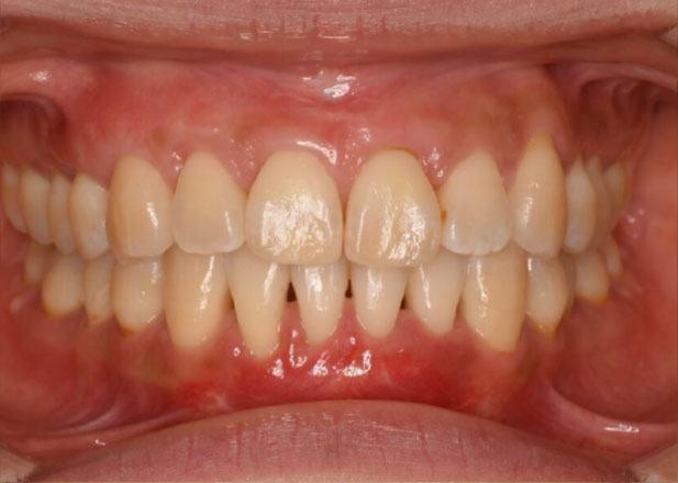
口腔内写真

治療前

マウスピース矯正 マウスピース矯正 マウスピース矯正

治療後

マウスピース矯正 マウスピース矯正 マウスピース矯正
治療法 マウスピース矯正
主訴 咬合不良による歯の痛みを治したい。
治療期間 1年半
リスクと副作用 1日のマウスピースの使用時間と交換日数を遵守できない場合、計画通り歯が動かない可能性がある。