お問い合わせフォーム 24時間オンライン予約 Scroll

マウスピース矯正症例19

歯並びが気になる

医師コメント

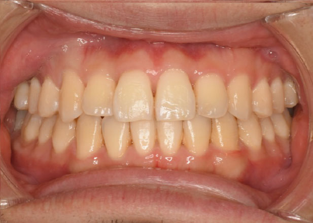
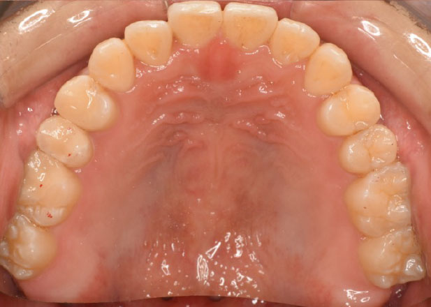
右上前から2番目の歯が内側に生えており、前歯のかみあわせも良くない状態でした。

この状態では奥歯に負担がかかり歯のトラブルが起きやすいです。ご自身の歯を長持ちさせるためにも矯正治療はとても重要です。

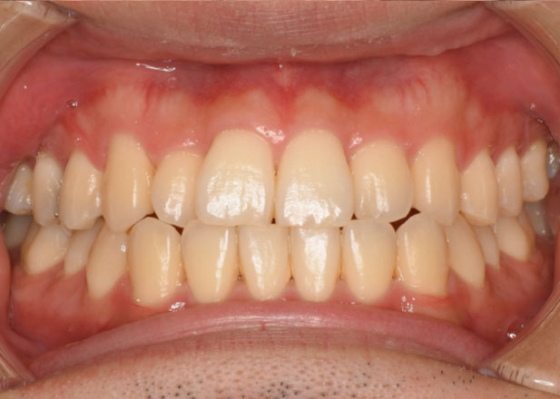
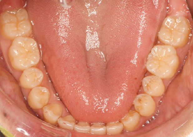
口腔内写真

治療前

マウスピース矯正 マウスピース矯正 マウスピース矯正

治療後

マウスピース矯正 マウスピース矯正 マウスピース矯正
治療法 マウスピース矯正
主訴 歯並びが気になる。
治療期間 1年
リスクと副作用 1日のマウスピースの使用時間と交換日数を遵守できない場合、計画通り歯が動かない可能性がある。