お問い合わせフォーム 24時間オンライン予約 Scroll

歯の根の治療が終わらない

自身の歯を
少しでも残す治療!

case1

治療前

感染根管治療

治療後

感染根管治療
年齢・性別 45歳男性
主訴 右下の歯に違和感があり気になる
治療期間 4ヶ月
リスクと副作用 準備中

治療前状況

感染根管治療
感染根管治療

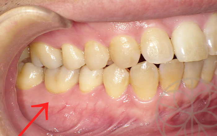
レントゲンを撮ると、右下の6番目の歯の根と根の間の骨(根分岐部の骨、赤矢印の部分)が消失しており、またこの歯の神経は壊死している状態でした。
この根分岐部の骨がかなり失われていることに関して、髄管と呼ばれる歯の内部から、根分岐部にかけて穴が開いている管があることが疑われました。
特殊なケースであるため、まずは根菅治療を行い、また根分岐部の失われた骨の状態を観察を行う治療方針としました。

このようなケースでは従来の感染根菅治療では、治療期間が長くなってしまうことが想定されます。
歯の根の治療が長引くというお悩みはとてもよく聞きます。1回の処置時間も15分程度と短く、5回も10回も通わなくてはいけない理由は、痛みが取れなかったり、歯の根の消毒がきちんとされずらいやり方にあると思います。
その一つの問題点として、ラバーダムを行わずにやる治療のやり方にあると考えています。

感染根管治療
感染根管治療

根の股の部分に大きな影(骨欠損部)が見られます。

ラバーダムを使用した治療

感染根管治療

ラバーダム(根の治療を行う際に、唾液がはいらないように歯と口腔内を隔離する緑色のシート)を行って、再度の細菌感染を防ぎながら、根の中を清潔に保ち消毒、拡大し、根菅充填剤(隙間なく埋める材料)を充填しました。
処置後のレントゲン写真では、根の先までしっかり根菅充填剤が入っていることが確認できます。ここまでの治療は2日で終えます。

きちんと拡大消毒を、マイクロ顕微鏡を用いながら、1回の処置時間を1時間ほどかけて行うことで、よい効率的に確実に処置を終えることができます・髄管の存在は、根菅治療に認めることは、できませんでしたが、髄管周囲の清掃をきちんと行うこと、またコア処置を行う際に、清潔な環境で行うことで、この部分からの根分岐部の感染はおこりずらい状況にすることができました。

根菅治療終了

感染根管治療

根菅治療を終了し、後日根分岐部の骨欠損の状態を確認しました。骨欠損部は大きく、かなり骨を失っている状態であると診断しました。

セラミッククラウンの作成

感染根管治療
感染根管治療

一定期間の経過観察を行った後にセラミッククラウンの型取りを行い、セラミッククラウンの作成をしました。

治療後

感染根管治療
感染根管治療

セラミッククラウンの修復後の写真です。矢印の部分にセラミッククラウンにて修復しています。歯肉に近い部分はなるべく歯を残すように、歯肉と接する部分はセラミックが来ないように、小さめに作っています。小さく作れる理由は、接着力が強いからです。このようにご自身の歯の部分を少しでも多く残せることが歯がこれ以上悪くなりずらい予防的な処置になっいます。

感染根管治療
感染根管治療

治療前に認められた根の股の部分の影(骨欠損部)が小さくなってきているのがわかります。患者様の症状もなくなりました。このように原因を適切に除去できると、かなり大きな範囲に骨欠損が起こっていても治癒することがわかります。
歯を抜くしかないと思われていた患者様にとってもとても良い結果になりました。今後のメインテナンスで悪くならないように維持していく必要はありますが、この歯はまだ長持ちすると思われます。

Preventual dentistry for your smile
患者様の笑顔のために

料金

精密根管治療(マイクロ顕微鏡使用、
自由診療用根管充填剤使用)
70,000円(税込み77,000円)~
セラミック治療 80,000円(税込み88,000円)~
症例集を見る

自身の歯を
少しでも残す治療!

case2

治療前

感染根管治療

治療後

感染根管治療
年齢・性別 44歳女性
主訴 歯科ドックを希望して受診された患者様
治療期間 1週間(治療日数二回)
リスクと副作用 準備中

治療前状況①

感染根管治療
感染根管治療

症状はないのですが、左上6番目の銀歯の根にレントゲンにてうっすら影が見えます。(赤マルでかこっているところ)ただこの影は、とても薄く小さな影なので、異常か、正常か判断は難しいです。そこでCTが威力を発揮します。

治療前状況②(CT撮影)

感染根管治療
感染根管治療
感染根管治療
感染根管治療
感染根管治療
感染根管治療
感染根管治療

同部をCTで確認し、0.1mm単位のスライスで確認すると、小さい影(病変)も見つけることができます。(赤矢印)この小さな影は、以前の治療をした部分から細菌感染をして根の中身が汚染しているため、根の先端の方に向かって細菌が移動して骨を溶かしています。

これは治療をしない限り治癒することはなく、長年の経過の中で大きくなっていきます。ある程度の大きさまで骨が溶けていくと、痛みが出てきます。
その痛みは通常かなりつらい痛みで、バクバク痛いとか、ずんずん痛いとかで表現されるほど、強い痛みです。応急処置でその痛みをとることは、できますが、骨が溶けていることは治しづらく、抜歯になることも多いです。
このように、痛みが出てからでは遅いので、この患者様のように痛みが出ておらず、影(病変)が小さいうちに見つけて、治療をすることがとても大切です。

その意味で歯科ドックでこのサイズの影(病変)を見つけることがとても大切になります。この患者様、以前ほかの歯科医院で根の治療をしたところ何日も通院し、なかなか治療が終わらなかったという記憶があり、症状のない今の段階でまた根の治療をするのは、やりたくないと正直にお話しいただきましたが、2回の1時間の治療で根の治療は終わること、
ラバーダムや、マイクロ顕微鏡を使用し、適切に治療ができることをお話しさせていただいて、症状のないこの段階で、治療を行うことに同意されました。

治療状況③

感染根管治療

まずは、銀歯を外します。写真は銀歯を外したところです。黄色矢印のところで、虫歯再発しており、ここから細菌が入っていったのではないかと思います。

感染根管治療

歯の土台(コア)を外し、現在入っている根菅充填剤をマイクロ顕微鏡で撮影したところです。
(黄色矢印が根菅充填剤)周囲も汚れていることがわかります。銀歯のクラウンから再発していて、歯の根の中が汚染されていることがわかります。
この状態であると、根の先の方に細菌がしみ込んでいくように侵入していって、根の先にある骨に到達し、骨を溶かしてしまいます。原因は根管の中の細菌と、汚染物なので、根菅充填剤を除去し清掃することが治療になります。

感染根管治療

根菅はとても複雑な形態をしていて、また個人差も大きいので、根菅をしっかり機械的に清掃をするためには、右上の柔らかくしなりながら曲がるニッケルチタンファイルが重要です。この器具を用いて、曲がりくねった根菅の中を機械的に清掃していきます。

根菅充填剤の除去

感染根管治療

根菅充填剤を溶かしながら除去した写真です。
黄色矢印の部分に根菅充填剤があって、それが除去できています。見えずらいですが、黄色矢印の部分が根管口(根菅の入り口)で、この根管孔から根菅の中を清掃をしていきます。

治療後

感染根管治療

最終的に根菅充填剤を充填したレントゲン写真です。
根尖の先まで拡大して、充填されていることがわかります。黄色矢印部分。
もともと症状のない歯ですので、治療中も痛みもなく、安全に根管治療を終了することができました。
今回治療したことによって、数か月後のレントゲン写真で影が小さくなっていることを確認できると、治癒に向かっているということができます。
症状のない、レントゲン、CT写真で異常の認められる歯を根管治療することによって歯を長持ちさせることができる予防的根管治療は、今後の予防歯科にとってとても重要な考え方になります。

Preventual dentistry for your smile
患者様の笑顔のために

料金

精密根管治療(マイクロ顕微鏡使用、
自由診療用根管充填剤使用)
70,000円(税込み77,000円)~
症例集を見る